ODRICANJE OD ODGOVORNOSTI
Informacije iznete na ovoj stranici (osim citiranih i linkovanih ka drugim stranicama)
pripadaju autoru koji nema stručno obrazovanje o virusologiji.
Prihvatate ih na sopstvenu odgovornost.
ISTINE I LAŽI O VIRUSIMA
Budite odgovorni,
čuvajte sebe i druge,
naučite šta su virusi
od pravih virusologa i molekularnih biologa
a ne od plaćenih lažova sa TV-a.
JEDINO ZDRAVLJE KOJE MOŽETE DA IMATE JESTE KADA TELO SAMO SEBE ISCELJUJE.
DA BI TU ISTINU SAKRILI PLAŠE VAS LAŽIMA O VIRUSIMA
I LAŽU VAS DA SAMO VAKCINISANI MOŽETE BITI ZDRAVI
Jedan od najboljih dokumentaraca koji razotkriva sve laži oko ove plandemije
NAUKA JE PRVA ŽRTVA PLANDEMIJE
Naučnici su podeljeni na
većinu koja otkriva istinu o lažnoj pandemiji
i manjinu koja je sprovodi lažima
SADRŽAJ VAKCINA (11.11.2021)
IZVEŠTAJ IZ EVROPSKOG PARLAMENTA O COVID-19
ISTRAŽIVANJE U JAPANU O DELOVANJU VAKCINA ZA COVID-19
Ukratko, sterilizacija je glavno delovanje nanočestica i grafenovog oksida koje sadrže sve vakcine za Covid-19
ISTRAŽIVANJE ŠPANSKIH NAUČNIKA O POGUBNOM SADRŽAJU VAKCINA
Govor dr. Reinera Fuellmicha na Svetskoj povorci slobode u Londonu, 24. 07. 2021
Australija je odavno najveći poligon za kontrolu uma - sada to više ne kriju
Saznajte šta i vas čeka ako se ne pobunite
PCR testovi ostavljaju u vašem telu nanočestice DARPA Hydrogela i litijum
Sajtovi virusologa i mikrobiologa koji razotkrivaju istinu o virusima:
https://drsambailey.com/covid-19/why-nobody-can-find-a-virus/
**********************************************************
Detaljno naučno razotkrivanje mita o virusima od strane virusologa dr. Stefan Lanka
Original i prevod teksta preuzetog iz časopisa WISSENSCHAFFTPLUS - Das Magazin 6/2015
Sa kakvim manipulacijama je stvoren mit o virusu sredinom prošlog veka
Iz teksta prenosimo ključne delove za lakše razumevanje porekla teorije o virusima
Poreklo ideje o virusima
Sadašnji pojam virusa temelji se na drevnim idejama da su sve bolesti uzrokovane otrovima („toksinima“) i da bi ljudi povratili svoje zdravlje proizvodeći "antitoksine" kao "protivotrov".
Međutim, u stvarnosti ne postoje protivotrovi, već telo proizvodi enzime koji neutrališu i eliminišu otrove.
Sve je počelo 1858. godine kada je Rudolf
Virchow plagirao nalaze drugih naučnika, potiskujući njihova bitna otkrića i
nametnuo lažni pogled na uzrok bolesti kao dogmu, koja je zapravo još uvek
delotvorna do danas. Prema ovoj dogmi sve bolesti navodno potiču iz ćelija, iz
nesavršenog rada ćelija. Virchowova ćelijska patologija je uvedena u medicinu i
ona pobija drevnu humoralnu doktrinu (holistički princip da je zdravlje povratak
ravnoteže bioloških porcesa a bolest njeno narušavanje) tvrdeći da se bolesti
razvijaju od patogenih otrova (na latinskom: virus) i nesposobnosti ćelija da
isprave svoj rad. Zato su nam potrebni lekovi. Tako je nastala farmaceutska
industrija.
Potraga za tim
patogenim otrovima i danas je ostala bez ploda, međutim, kada su otkrivene
bakterije, pretpostavljalo se da su one proizvodile patogene otrove. Ova
pretpostavka, nazvana "teorija klica", odmah je prihvaćena i ostaje vrlo uspešna
do danas. Ova je teorija toliko uspešna da većina ljudi još uvek nije svesna
činjenice da su takozvani bakterijski toksini zapravo normalni enzimi, koji se
ili ne mogu pojaviti u čoveku, ili ako to čine, nikad se ne pojavljuju u tolikoj
količini da bi postali opasni.
Otkriće faga, takozvanih bakterijskih "virusa", ojačalo je pogrešnu pretpostavku i uverenje da postoje ljudski i životinjski virusi koji su izgledali isto i imali istu strukturu. To nije i ne može biti slučaj iz nekoliko različitih razloga. Nakon uvođenja tehnika hemijskog ispitivanja u biologiji, otkriveno je da postoje hiljade vrsta faga te da fagi jednog tipa imaju uvek istu strukturu. Sastoje se od određene molekule, načinjene od nukleinske kiseline, koja je prekrivena ljuskom belančevina određenog broja i sastava. Tek kasnije otkriveno je da bakterije koje su bile rođene u epruveti, mogu se i same pretvoriti u fage, dodirom s fagovima, ali to nikada nije primenjeno na prirodne bakterije već samo na bakterije koje su izolovane iz svoje prirodne sredine. U ovom procesu je otkriveno da ti "bakterijski virusi" zapravo služe za održavanje drugih bakterija važnim molekulama i proteinima, i da su same bakterije nastale iz takvih struktura. Pre nego što se moglo ustanoviti da "bakterijski virusi" ne mogu ubiti prirodne bakterije, ali im umesto toga pomažu da žive i da same bakterije izlaze iz takvih struktura, ti su "fagi" već postavljeni kao modeli za navodne viruse ljudi i životinja. Pretpostavljalo se da su ljudski i životinjski virusi izgledali poput "faga", koji su navodno ubijali ćelije i da na taj način uzrokuju bolesti, istodobno stvarajući nove otrove i na taj način prenoseći bolesti.
Do danas su virusima pripisane mnoge nove ili naizgled nove bolesti iako je njihovo poreklo nepoznato ili nepotvrđeno.
Važno je napomenuti da je teorija borbe i zaraze prihvaćena i visoko hvaljena od strane većine stručnjaka samo ako i kada su zemlje ili regije u kojima su živeli takođe patili od rata i nevolja. U doba mira, drugi su koncepti dominirali svetom nauke. Vrlo je važno napomenuti da teorija infekcije započinje iz Nemačke - globalizovana je tek kroz treći Reich, kada su istraživači, koji su se protivili i pobijali političko iskorišćavanje teorije zaraze, uklonjeni sa svojih položaja.
"Bakteriofagi", ispravno su definisani kao necelovite mini spore i građevinski blokovi bakterija, naučno su izolovani, dok navodni patogeni virusi nikada nisu primećeni u ljudima ili životinjama ili u njihovim telesnim tečnostima i nikada nisu izolovani i naknadno biohemijski analizirani. Čini se da do danas nijedan istraživač uključen u ovu vrstu posla nije to shvatio.
Korišćenje elektronskog mikroskopa i biohemije vrlo su se polako vraćali u normalu nakon 1945. godine, ali ni tada niko nije shvatao da niti jedan „patogeni virus“ nije nikada bio izolovan kod ljudi ili životinja. Tako su od 1949. istraživači primenli istu ideju koja se koristi za (bakterio) fage, kako bi se replicirali ljudski i životinjski „virusi“. John Franklin Enders, rođen 1897. godine u porodici bogatog bankara, bio je aktivan u raznim (masonskim) bratstvima nakon završetka studija, zatim je radio kao agent za nekretnine i četiri godine proučavao strane jezike pre nego što se okrenuo bakterijskoj virusologiji, koja ga je opčinila. Zatim je ideje i koncepte koje je naučio u ovom području istraživanja jednostavno preneo na pretpostavljene patogene viruse u ljudima. Svojim nenaučnim eksperimentima i interpretacijama koje nikada nije potvrdio negativnim kontrolama, Enders je doveo čitavu "virusnu" zaraznu medicinu u slepu ulicu. Važno je napomenuti u ovom trenutku da je Enders, poput mnogih stručnjaka za zarazne bolesti, radio za američku vojsku, koja je uvek bila i ostala do danas najveća mašinerija za propagandu straha od zaraze (CDC pripada Pentagonu).
Osim toga, uglavnom je američka vojska širila svoje pogrešno uverenje da je hemijsko oružje i biološko oružje u obliku bakterija, i virusi (oni su pridružili viruse hemijskom I bakteriološkom oružju). Enders je 1949. objavio da su uspeli in vitro kultivisati i uzgojiti navodni virus dečje paralize na raznim tkivima. Američko stručno mišljenje je sve odmah poverovalo.
Ono što je Enders učinio bilo je dodavanje tečnosti pacijenata s dečjom paralizom u tkivne kulture za koje je tvrdio da su bile sterilizovane, tada je tvrdio da ćelije umiru zbog virusa, da se virus umnožava na ovaj način i da se vakcina može dobiti iz odgovarajuće kulture. U to vreme letnje epidemije dečje paralize bile su vrlo česte tokom leta i verovalo se da ih uzrokuju virusi dečje paralize.
Vakcina je trebala pomoći da se iskoreni navodni virus. Nakon uvođenja vakcine protiv dečje paralize bolest nije nestala već su simptomi samo dijagnostifikovani drugačije, između ostalog kao: multipla skleroza, mlitava akutna paraliza, aseptični meningitis itd., a kasnije se lažno tvrdilo da je iskorenjena dečja paraliza.
Tokom svojih eksperimenata Enders je sa saradnicima sterilizovao kulture tkiva kako bi se isključila mogućnost ubijanja ćelija. Ono što nije uzeo u obzir jeste da je sterilizacija i lečenje ćelijske kulture kod priprema za navodnu infekciju, upravo ono što je ubijalo ćelije. Umesto toga, protumačio je citopatske učinke kao postojanje i delovanje virusa dečje paralize, a da nikada nije izolovao niti jedan virus i opisao njegovu biohemiju. Potrebni eksperimenti negativne kontrole, koji bi pokazali da su sterilizacija i obrada ćelija prethodili „infekciji“ u epruveti koja ubija ćelije, nikada nisu sprovedene.
Međutim, za ovo "otkriće" Enders je dobio Nobelovu nagradu 1954. godine. 1954. je takođe godina u kojoj je Enders primenio i uveo istu tehniku kako bi navodno replicirao "virus" malih boginja. Kako mu je iste godine dodeljena Nobelova nagrada za navodni "virus" dečje paralize istraživači su verovali da je njegova tehnika naučno ispravna. Tako se do danas temelji čitav koncept malih boginja na osnovu ove tehnike. Dakle, vakcine protiv malih boginja ne sadrže viruse, već čestice mrtvog majmunskog bubrežnog tkiva ili ćelije raka od čoveka (i druge veoma štetne sastojke).
Do danas nisu rađeni eksperimenti negativne kontrole ni u vezi s takozvanim virusom malih boginja, koji bi pokazali da upravo laboratorijski postupci dovode do citopatskih učinaka na ćelije. Uz to, svi zahvati i eksperimenti koje su izveli Enders i drugi istraživači vode do jedinog objektivnog zaključka da su to zapravo bili promatranje i analiza umirućih ćelijskih čestica i njihove aktivnosti u epruveti, pogrešno ih tumačeći kao čestice i karakteristike navodnog virusa ospice.
Virusolog dr. Stefan Lanka
**********************************************************
Virusologija je danas lažna nauka zasnovana u potpunosti na teorijama koje nikada nisu eksperimentalno dokazane. Njeno kreiranje započeto je krajem devetnaestog veka iz političkih razloga, u sukobu evropskih sila, Nemačke, Francuske i Velike Britanije, njihovom razvoju petrohemijske industrije radi izrade bombi i bojnih otrova. Odatle se razvila farmaceutska industrija.
Svi temeljni principi današnje virusologije izvedeni su iz mikrobiologije koja je nekada bila ispravna nuka, ali danas su sami principi biologije lažirani. Oni se danas zasnivaju na lažnoj predstavi da je priroda zla i u sukobu sa čovekom, umesto na istini da je život zasnovan na svesnoj simbiozi svih živih oblika.
Bakterije nam daju život, virusi nas leče i čiste nam telo.
Sve bolesti nastaju samo kada se čovek umeša u taj božanski proces.
Kratko i jasno objašnjenje jednog biologa šta su virusi
Virusi su egzozomi (sva objašnjenja na jednom mestu)
Malo šire objašnjenje šta su virusi Dr. Thomas Cowan
Kratko i jasno predavanje o nepostojanju virusa
Dr Robert Young, naučnik koji 40 godina istražuje uticaje na membrane ćelija:
Virus znači "otrov" a sva moguća trovanja organzma pripisuju se virusima
Lažno predstavljanje virusa počelo je lažnim testovima Pastera, lansirano je u svetsku javnost za vreme "španske groznice" (uzročnik je bila vakcina koja je izazivala 'citokinsku oluju'), zatim pojava polia (uzročnik je otrov DDT) pa HIV koji nikada nije izolovan kao virus a svi smrtni slučajevi su nastali od "lekova" protiv HIV-a i drugih uzroka. U novije doba laž o virusima se "dokazivala" SARS-om (to je samo akronim za teški akutni respiratorni sindrom - nije virus - sindrom nije virus!), Ebola ima sve simptome malarije, zato što i jeste malarija, bakterijska infekcija. Bilo je više generalnih proba i priprema sa raznim "gripovima" (ptičiji, svinjski ...) da bi danas priredili glavnu predstavu zvanu COVID-19.
******************
Ekonomski razlozi za plandemiju
Stvara se nova ekonomija,
ekonomija tehnokratije. (O tome videti u sjanim knjigama Patrick M. Vood:
Technocracy Rising: The Trojan Horse Of Global Transformation, 2014 i
Technocracy: The Hard Road to World Order, 2018) Ukratko, radi se o
sledećem.
Ekonomija tehnokratije nije zasnovana na ekonomskim mehanizmima ponude i
potražnje, već na kontroli resursa energije koji diktiraju tip proizvodnje
ponude i potražnje. Kako bi njihov sistem funkcionisao, ova tehnokratska
struktura koju sačinjavaju naučnici, inženjeri, lekari i bankari, zahteva
socijalni inženjering, on zahteva ogromne baze podataka o građanima i potpunu
kontrolu nad izvorima podataka, nad medijima i ljudima. To se sprovodilo u
poslednjih 80 godina kroz razne oblike programa kao što su: Agenda 21,
Sustainable Development, Green Economy, Councils of Governments, Smart Growth,
Smart Grid, Globalno zagrevanje. Najsnažniji program je Veliko resetovanje ili
tkz Četvrta industrijska revolucija, koja se upravo događa uz pomoć pandemije
covid-19. U suštini ovde energija zamenjuje koncept novca kao robe. Njima ne
odgovara liberalno kapitalistički koncept, jer on usmerava proizvodnju i
potrošnju. U njihovom konceptu potrošnja mora da bude usmerena, zato mora da
postoji sistem kontrole masa, masovne kontrole uma. Mase ne treba da poseduju
ništa ali da se osećaju srećno. Političari, kao predstavnici interesa naroda,
biće uklonjeni, već sada oni su samo loši glumci. Bankarski sistem je došao do
kraja, dugovi su toliki da više ne mogu da se vrate. Sada će globalna ekonomija
biti zasnovana na resursima a ne samo na novcu (Bil Gejts upravo kupuje ogromne
površine poljoprivrednog zemljišta). Taj plan treba da se ostvari do 2030
godine. Ljudi neće biti vlasnici ničega, sve će dobijati na lizing, na
korišćenje. Svi proizvodi će postati usluge. Ljudi će posedovati kriptovalute,
ali one će im biti dodeljivane samo na osnovu uzornog ponašanja, biće povezane
se ljudskim telom. Takvi krediti ili bodovi već postoje u Kini. Tela ljudi će
biti u potpunosti nadgledana. Ako se ponašaju prihvatljivo moći će da dobiju ono
što traže, i to ne sve. Da bi se to ostvarilo, trenutno se razvija diktatura
biomedicinske struke, ulažu se ogromni resursi na razvoj biološke kontrole
čoveka, u pretvaranje ljudi u biološki poslušne robove. Vakcine su osnovni korak
u ostvarenju tog cilja.
******************
Ukratko: krajem devetnaestog veka zloupotrebljeno je otkriće delovanja bakterija tako što je pored njih izmišljen mali nevidljivi "otrov" koji su preveli na latinski kao "virus", da bi izgledalo stručno i naučno. On navodno stalno napada naša tela i izaziva bolesti. To je učinjeno zato da bi nastala potreba za "lekovima" da nas leče. I onda kada smo zdravi izmišljena je potreba za "lekovima" kao "prevencija" u vidu vakcina. Nije isplativo zarađivati samo na bolesnima, i zdravi moraju biti izvor zarade.
Dakle, izmislili su "otrove" (viruse) da bi nam prodavali "lekove".
Bilo je potrebno izmisliti "viruse" naročito za opravdavanje vakcina, jer protiv bakterijskih infekcija i parazita vakcine nisu bile moguće.
Problem je bio u tome što su štetne bakterije i paraziti mogli relativno lako da se neutrallišu, pre svega higijenom i biljnim melemima, osim nekoliko vrlo opasnih (kuga, kolera, tifus ...). Bilo je potrebno izmisliti "otrov" (virus) za koji čista voda i higijena nisu dovoljne za odbranu. Takođe je u to vreme otkriveno da ćelije i bakterije prirodno nastaju u našem telu iz još finijeg energetskog polja (orgon, protiti, mikrozime), i u njega se rastvaraju i nestaju. To je opasno približilo ljude uvidu da je ljudsko telo i cela priroda svesna celina koja sama sebe održava na najbolji mogući način. Bilo je potrebno izmisliti nešto opasno, što će biti izvor straha, što će sugerisati da je priroda opasan neprijatelj za šta je potrebna farmaceutska industrija da nas odbrani i zaštiti - od prirode koja nas je stvorila i daje nam život.
Dakle, oni su zasnovali alopatsku medicinu na osnovu laži da telo nije sposobno da se samo isceljuje jer se prikazuje kao nesavršena i nesvesna biološka mašina koju mali "virus" može da prevari i otruje. Pri tome se u širokom luku zaobilazi činjenica da to isto telo može da ima inteligenciju da nauči medicinu i samu virusologiju. Na takvim idiotskim kontradikcijama je zasnovana alopatska medicina farmakomafije. Ona se održava samo lažima i nasilnim potiskivanjem drugih medicinskih praksi, kao što je holistička medicina, i sve tradicionalne koje su se dokazale vekovima kroz praksu. Jedina praksa alopatske medicine koju je izumela farmaceutska mafija jeste sve veći broj bolesnih i sve veći profit farmaceuta.
Tako je nastao virus, najveća laž dvadesetog veka.
Bilo je to vreme kada su satanisti koji vladaju ovim svetom izgrađivali svoju vlast na naučnoj osnovi, tačnije na izvrtanju i lažiranju naučne osnove, jer na osnovama prave nauke ne bi mogli da opstanu ni jedan dan.
Tesla je fiziku etra praktično sproveo kroz električnu energiju i bežični prenos energije, kroz sve izume koji su iz temelja promenili našu planetu i unapredili život. Delo nikole Tesle i istinu o etru satanistička elita je potisnula "delom i likom" Ajnštajna i izmišljotinama o tome da je osnova prirode u suštini materijalna samo je toliko relativna da je ne možemo razumeti.
Vilhelm Rajh je istu
fiziku etra otkrio u biologiji i organskom delovanju. Njegova istaživanja biona
su pokazala da ćelije i mikrooganizmi koji sačinjavaju život nastaju iz etarske
osnove, koja je sveprisutna, koja je finija od organskih i energetskih pojava,
koja je univerzalna osnova sveg života, i u njemu se rastvaraju da bi ponovo
nastali u odgovarajućim uslovima. (O tome videti u
Wilhelm Reich: "The Bion
Experiments on the Origins of Life"; Farrar, Straus and Giroux, 2013. i "Ether,
God and Devil - Cosmic Superimposition"; Farrar, Straus and Giroux; First
Printing edition, 1973.)
To otkriće je bilo smrtna presuda faramkomafiji i celoj satanističkoj eliti, pa
su ga zato oni preduhitrili tako što su doneli smrtnu presudu Rajhu i njegovom
delu. Strpali su ga u ludnicu i ubili, a FDA je zaplenila njegove radove.
Tako je nastao mit o virusima, opakim, malim, zlim otrovima, sa zlokobnim šiljcima, nalik na podvodne mine, koji nas napadaju sa svih strana. Da bi se to nekako potkrepilo sa "dokazima" vidljivim pod mikroskopima za te viruse su proglašeni proteinski omotači sa RNK (egzozomi) koje ćelije ispuštaju sa ciljem da šire informacije i neutrališu toksine. Da nas iscele i izleče. Oni se vide pod mikroskopima i zgodno su poslužili da budu strašila koja tajno rade za farmaceute - virusi. Danas, kada su mikroskopi mnogo jači i kada je sve više ljudi osposobljeno da gleda šta ti "virusi" rade, i kada su i sami virusolozi počeli da otkrivaju da oni zapravo izlaze iz ćelija i da rade korisne stvari, "virusima" je danas preko noći promenjen naziv (stara taktika, promeni naziv da zavaraš trag učenim frazama) i nazivaju se egzozomi. Izgledaju potpuno isto kao "virus" Covid-19. To i jeste ista stvar.
Prevara je u tome da se virusi predstavljaju kao da su mali neprijatelji života nastali ko zna kad u praistoriji i otada neprestano truju ćelije tako što ulaze u njih, iskoriste ih za svoje razmnožavanje i mutaciju, i izlaze razarajući ćelije. Prevara je mogla da uspe zato jer se pod mikroskopom zaista vidi da oni ulaze u ćelije i izlaze, ali to je samo pola istine. Cela istina je da su oni u ćelijama i nastali i da izlaze iz njih i ulaze u druge radi širenja informacija i DNK materijala između ćelija. Na osnovu jedne poluistine napravljena je cela lažna nauka virusologija koja egzozome predstavlja kao otrovne "viruse".
Stoga ne postoji nikakva "virusna infekcija", virusi ne mogu da nas zaraze, oni nas čiste i leče. Grip, male boginje i druge "zarazne bolesti" su zapravo samo oblici čišćenja organizma od toksina i prilagođavanja godišnjem dobu, dok su sve dečije bolesti zapravo prilagođavanje imuniteta fazama rasta deteta. Možemo samo da se zarazimo od opasnih bakterija usled nehigijene, pa i od njih samo uslovno. Tako, na primer, većina ljudi ima u sebi bakteriju tuberkuloze, ali ona je neaktivna zahvaljujući našem imunom sistemu. Samo ako naš imunitet opadne usled dužeg boravka u hladnoći i vlazi, dobićemo tuberkulozu.
Nikada nije izolovan ni jedan jedini virus osim egzozoma koji je lažno prikazan kao "virus".
Namerno je stvorena zbrka oko virusa i bakterija, tako da uzroke bolesti mešaju i laici i lekari, mnogi ih i ne razlikuju. Virusi (egzozomi) nisu živa bića, ne hrane se i ne razmnožavaju se, dok bakterije sve to čine. Pravi uzročnici svih bolesti su bakterije i paraziti, razna zračenja i hemijski otrovi, a nikada virusi, međutim njima su pridruženi i virusi kao uzročnici bolesti da bi mogli da okrive viruse kada vas leče "lekovima" i vakcinišu.
Sve se zasniva na konsenzusu faramceuske industrije i "stručnjaka" koje je ona programirala (obrazovala) kako će da vide ono što vide i šta će sa time da rade.
Konsenzus ovde znači da ako postoje dve činjenice zajedno, onda se zaključuje da je tu negde i treća, iako je niko ne vidi. I na toj trećoj SZO donosi zaključke i odluke koje se tiču života ljudi. Na toj trećoj zasniva se sva farmaceutska industrija.
Deo odgovora kako taj konsenzus funkcioniše može se naći u tekstu Djordja Agambena "Medicina kao religija".
Taj konsenzus nema mnogo obzira prema vašoj inteligenciji. Sećate li se slike virusa HIV (side) sa kojim su plašili ceo svet osamdesetih i devedesetih godina prošlog veka? To je bila kuglica sa šiljcima. Tak nešto zapravo ne postoji u našem telu, pod mikroskopom egzozomi izgledaju kao grudvice sa neravnom površinom, nema nikakvih šiljaka, oni su dodati da se ljudi dodatno zastraše. Potpuno je identična današnja slika COVID-19. Da li svi "virusi" izgledaju potpuno isto - isto kao egzozomi koji takođe tako izgledaju - ili su se opustili u svojoj igri laganja pa se nisu ni trudili da nešto promene u izgledu svog strašila. Možda ćemo saznati jednog dana kada tvorce tih laži izvedemo pred sud.
Virus nije živa stvar -
nema jezgro, nema ni respiratorni, ni cirkulatorni ni digestivni sistem. Virusi
su otpadni proteinski proizvodi u rastvoru i prenosioci DNK informacija između
ćelija. Virusi su samo rastvori za detoksifikaciju organizma. Kao sapun.
Kada u telo unosimo "hranu" koja nije organskog porekla, kuvanu, mrtvu hranu,
punu hemije, aditiva, pesticida, i neorganskih minerala, naše telo postaje
toksično. Ono ima sposobnost da se čisti samo od sebe. Za to služe bakterije.
One dnevno jedu otpad u našem telu koji je 50 puta veći od njihove težine, a
proizvode otpad 1-3%. Kao kada bi čovek pojeo 23 kg hrane dnevno i sledećeg dana
od toga imao 1-3 kg fekalija. Toliko su bakterije dobri čistači.
Kada je otrov u našim telima toliko veliki da bakterije ne mogu da ga pojedu i
uklone, onda naše
telo stvara viruse,
tj rastvore koji se bore sa tim toksinom. To su virusi. To je grip. Prehlada je
bakterijska detoksifikacija, proces čišćenja.
Naše telo ima sposobnost da stvori 300.000 različitih virusa koji su specifični
za specifična tkiva u određenoj ćeliji tako da se integritet ćelije ne poremeti,
da ćelija ne umre. Vurusi služe jednom telu i zato ne mogu da prelaze u drugo
telo, niti u telo druge vrste. Jedini način da se neko zarazi od bilo kog
virusa, od ptičijeg ili svinjskog gripa, jeste vakcinacija, da se veštačkim
putem ubrziga u telo.
Svi prirodni virusi su dobri virusi, oni su odgovor tela na biološke procese.
Ljudi stradaju samo od veštaćki stvorenih i veštački unetih virusa u telo.
1976 godine umrlo je 2300 ljudi u roku od 2 nedelje koji su primili vakcinu
protiv svinjskog gripa. Pre vakcine nisu imali grip, a onda kada su primili
vakcinu dobili su svinjski grip.
Vakcinacija je jedini način da ljusko biće može da dobije ptičiji ili svinjski
grip.
Viruse proizvode naše ćelije u celovitoj formi. Ako ljudska ćelija kreira virus
(kao odgovor na toksine radi čisćenja), to se onda može dogoditi samo unutar
ljudskog tela, ili u epruveti gde ima ljudskih ćelija.
Naše telo i tkiva u njemu, moraju da se čiste na određeni period vremena. Taj
period je kod nekoga 6 meseci a kod nekoga 7 godina, zavisi koliko je toksično
telo. Kada telo ne moze da iskoristi bakterije, ono ce napraviti rastvor,
odnosno virus, koje će to tkivo da očisti na svake dve godine, 3 ili 6 meseci.
Prema tome, jedini način da ljudi dobiju svinjski grip je taj što se uzme tkivo
svinje, koje je raslo u toksičnom okruženju, i onda ćelije svinje kreiraju virus
da bi mogle da se očiste, i takav virus se ubrizga u ljudsko telo.
Tada nastaje problem jer sada u našem telu postoji novo strano telo, virus koga
nije proizvelo naše telo. Tako dolazi do Gijen-Bareovog sindroma i
anafilaktičkog šoka (od koga je na ovaj način 50 miliona ljudi ubijeno od
vakcine gripa koja je proizvedena 1918. godine).
Jedino sto treba da uradite da bi se izborili sa svinjskim gripom (ili nekim
drugim gripom) jeste da nikada ne primite vakcinu.
Vakcine su otrov.
Zapravo, problem za zdravlje nisu virusi već patogeni ogranizmi, paraziti i neke bakterije, čije prisustvo uvek zavisi od higijene i kvaliteta života. Zato su zarazne bolesti naglo opale sredinom dvadesetog veka kada su se higijenski i sanitarni uslovi života naglo poboljšali u civilizovanom svetu nakon II sv. rata, a to opadanje zaraznih bolesti farmaceutska industrija lažno pripisuje delovanju vakcinacije.
Na delu je veliko lažiranje prave prirode i uloge virusa i zataškavanje uloge toksičnih dodataka hrani, pesticida i herbicida, nekih bakterija i parazita koje su pravi uzročnici većine bolesti i zaraza.
Ako postoje neki virusi i bakterije koji nas truju i izazivaju pandemije, onda to nikako ne mogu biti prirodni virusi i bakterije, već samo veštački stvoreni u laboratorijama kao biološko oružje.
Virusi ne ulaze u naš organizam spolja i ne napadaju nas. Oni nastaju svuda, i u našem organizmu, iz protita (mikrozime ili somatidi) kao i sve druge ćelije i učestvuju u njegovom radu. Zahvaljujući istim protitima oni i nestaju, kao što se i sve druge ćelije razlažu (trule) a o tome odlučuje imunitet.
Stanje organizma presudno odlučuje da li će se neki virusi pojaviti u telu i kako će delovati. Dokaz za to je sav životinjski svet koji zdravo živi u vrlo "nehigijenskim uslovima" prepunim bakterija i virusa. I pored takvih uslova životinje gotovo nikada nisu bolesne samo zato što im je organizam ispravan jer se hrane prirodnom i odgovarajućom hranom, i nemaju farmaceutsku industriju da ih "leči", ako se ponekad i razbole lako se izleče travama. Njihov najveći problem su paraziti.
Virusi uopšte ne prenose bolesti. Oni samo prenose informacije o životnim procesima.
Biološka struktura koja bi učinila bilo šta negativno još nije viđena. Destruktivan život nije moguć. Osnova biološkog života je zajedništvo, simbioza i tu nema mesta za rat i destrukciju. Rat i destrukcija u biološkom svetu su samo izmišljotine psihopata koje vladaju svetom.
Svi oblici života su zapravo simbioza ćelija, skup manjih organizama koji se udruženi u veću celinu ponašaju kao novi veći organizam. Atomi se udružuju u molekule i ćelije se udružuju u veće organizme. I to je tako od najmanjih oblika do našeg tela, koje je takođe samo jedan simbiotički skup ćelija koji se ponaša kao celina.
Neke ćelije se ne kreću jer zavise od organizma kome pripadaju.
Neke mogu da se nezavisno kreću i tim kretanjem učestvuju u razmeni energije, informacija i samog života.
One se nazivaju bakterijama.
Ima ih svuda oko nas i u nama. Na jednom kvadratnom metru zemlje, na primer, ima oko 800 miliona bakterija. One stvarju humus, onaj tanak sloj plodne zemlje koja nas sve hrani. Da nije njih, ovo bi bila pustinjska planeta.
Naše telo stvara bakterije za svoje potrebe, ali ih prima i spolja, što je neizbežno. Neke spoljašnje telo koristi, ali neke su štetne i opasne. Ravnotežu korisnih ili štetnih bakterija u telu reguliše imuni sistem. On zato postoji.
Ne postoji nijedan direktan dokaz da 'virusi' izazivaju velike zaraze i katastrofalne epidemije. Takav dokaz i ne može da postoji jer čovečanstvo ne bi postojalo da je to istina - a verovatno ni oni hibridi od neljudi koji proizvode epidemije veštački stvarajući opasne viruse i bakterije kao biološko oružje, koji bi mogli da ugroze čovečanstvo, a preko svojih institucija nam diktiraju šta je 'nauka' i šta su 'virusi'.
Svi takvi 'dokazi' postoje samo na osnovu dogovora onih koji ih proizvode.
Niko nije video ni izdvojio viruse HIV/AIDS ni H5N1. Oni postoje samo na osnovu koncenzusa o tome da postoje. Ebola je zapravo malarija, jer ima potpuno istu kliničku sliku kao malarija.
Svi 'dokazi' koji se pokazuju svetu izvedeni su posredno na osnovu indirektnih pojava namerno izazvanih u laboratorijama postupcima koji nemaju veze sa samom bolešću. Jednostavno se učini sve da se dobije željeni rezultat i 'dokaz'. I nijedan takav 'dokaz' nije u svim svojim elementima dostupan javnosti i nezavisno proveren. Samo je nametnut javnosti preko vodećih medicinskih institucija kojima rukovode isti oni koji sprovode istraživanja, i to se a priori prihvata kao tačna i dokazana stvar.
********************************************************************************
Virusologija je nova "nauka" stvorena da bi se potisnulo staro znanje iz mikrobiologije i biohemije o tome šta su zapravo virusi. Ta nova nauka je lažna nauka. Ona je stvorena na osnovu činjenice da pod mikroskopom može da se vidi svašta u krvi, i laboranti nemaju pojma šta vide. To je priznala i Džun Almeida kada je 1964 godine zurila kroz mikroskop. Videla je samo neke sive tačkice koje mrdaju. Onda su došli stručnjaci iz čuvene "britanske škole laži" i objasnili joj šta vidi. Tako je ona "otkrila" "virus" korona. Jedini dokaz da je to virus u masi mrlja koje se vide pod mikroskopom je bio samo to što su se oko njega, navodno, skupljala antitela. Zapravo to i nisu bila antitela već proteini koji pomažu rast svake ćelije. Pod mikroskopom se ne vidi ništa drugo, samo da se nešto skuplja. Sve ostalo je tumačenje "struke". Uostalom, sama pojava antitela nije dovoljan dokaz da postojanje i štetno delovanje "virusa". Stvar je mnogo složenija.
Ono što su sakrili jeste istina da to malo okruglo što je videla, sa kvrgicama i liči na krunu kada se gleda odozgo, zapravo su egzozomi koje ćelije ispuštaju kada se čiste od toksičnosti organizma. Slika koja se javnosti prikazuje kao slika virusa korona, Covid-19, identična je slici egzozoma. Ne samo slika, DNK koji je javnosti predstavljen kao DNK virusa Covid-19 je identičan sa DNK egzozoma. (Egzozomi su novi naziv za viruse. To je u duhu lažiranja cele istine o virusima.)
Lažu i obmanjuju ljude kao da su idioti. I odlično im uspeva.
Postoje endozomi, koji nastaju i ostaju u ćelijama, i egzozomi koji izlaze iz ćelija i odlaze u druge ćelije radi razmene informacija ili u bakterije radi njihove modifikacije. Mikrobiologija danas poznaje njihov rad i sva obmana je u tome što se egzozomi prikazuju kao da su različiti od virusa. Tako pokušavaju da sačuvaju prevaru oko virusa. Međutim, egzozomi i virusi su jedna ista stvar, njihov izgled, veličina i sadržaj potpuno su isti.
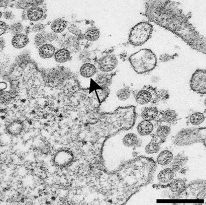
Slika egzozoma koji je identičan slici Covid-19 Identični su RNK i sva druga svojstva egzozoma i covid-19


Mikroskopska slika egzozoma koja se lažno prikazuje kao virus.
Slika je pruzeta sa sajta CDC na kome se dokazuje postojanje virusa COVID-19.
(https://wwwnc.cdc.gov/eid/article/26/6/20-0516-f1)
Opis slike sa sajta: Elektronska mikroskopija izolata virusa koja prikazuje izvanćelijske sferne čestice sa presecima kroz nukleokapside (crne tačke). Strelica označava virion koronavirusa koji izlazi iz ćelije. Lestvica skale označava 200 nm.
Dakle, savremeni virusolozi i laboranti su ljudi sa umovima programiranim da vide samo ono što su naučeni da vide i da rade samo onako kako su naučeni da rade sa tim što im je rečeno da vide. Njihov rad je potpuno mehanizovan i programiran. Ako im pukne program i nešto sami primete, i pobune se, onda gube posao ili volšebno nestaju.
Onim malobrojnim virusolozima koji pokušavaju kritički da razmišljaju, nepostojanje bilo kakvog dokaza o štetnom delovanju virusa lažira se frazom da "virus mutira". Zato niko nikada nije video HIV virus (jer "stalno mutira" tako brzo da ne možete da ga vidite, njegova lažna slika koja je predstavljena javnosti, zlokobna kugla sa šiljcima, identična je koroni) ali zato jesu dobijali Nobelovu nagradu za njega.
Takozvana 'mutacija virusa' je još jedna laž koja se daje kao odgovor na pitanje zašto ne mogu bolesti da se suzbiju ni vakcinama ni lekovima. Virusi-egzozomi ne mogu da mutiraju jer oni nisu živa bića. Nemaju jezgro, nemaju ni respiratorni, ni cirkulatorni ni digestivni sistem. Virusi-egzozomi su proteinski proizvodi u rastvoru. Virusi-egzozomi su samo rastvori za detoksifikaciju organizma. Kao sapun. I prenosioci RNK informacija. Ništa više od toga.
Istina o "mutaciji virusa" je u tome da egzozomi nastaju prema potrebi čišćenja, nisu uvek isti, RNK od koga se sastoje jeste informacija koja se prenosi kroz ćelije. Egzozomi su čistači i oni imaju svoj program rada zavisno od problema i trovanja sa kojima je organizam suočen. Zato ih telo proizvodi uvek različite. Njihova raznovrsnost se lažno prikazuje kao da oni sami mutiraju.
Da slučajno ne bi videli nešto što ne treba da vide, oni gledaju samo u mrtvu krv, ne živu, jer tamo može da se vidi svašta. Može da se vidi da ćelije, virusi i čak bakterije, nastaju i nestaju iz biona, plavičaste svetlosti, tj orgona. To je otkrio još Vilhelm Rajh. Zato je učutkan, ubijen, i njegov rad je farmaceutska mafija uz pomoć FBI zaplenila i sakrila.
Danas se koriste samo elektronski mikroskopi koji, za razliku od optičkih, rade samo sa mrtvom materijom.
Čak i dobronamerni lekari, koji su obmanuti pogrešnim obrazovanjem, ne znaju šta su virusi i prave budale od sebe kad god kažu reč "virus".
Medicinsko obrazovanje određuje farmaceutska industrija. Njen profit stvaraju bolesni ljudi, a ne zdravi.
Kada bi se otkrila istina o virusima farmaceutska industrija bi propala.
Zato je ta laž sistematski građena još od kraja devetnaestog veka i potpuno usavršena sredinom dvadesetog veka.
Dakle, ne postoji čak ni virus gripa. Njegova slika koja se potura u medicinskim udžbenicima i javnosti je lažna. To je slika egzozoma. Grip je samo sezonsko prilagođavanje organizma za zimu. Zato gripa nema u tropskim i suptropskim područjima. Ima ga samo tamo gde ima četiri godišnja doba. Cela priroda se priprema za promenu klime. Biljke povlače enzime u koren i zato opada lišće, životinje dobijaju gušće krzno, i svakako još svašta u krvi što im treba za zimu. I čovek se priprema, čisti se pred zimu. To čini izlučivanjem nepotrebnih stvari. To se pokreće uvek kada temperatura tela spadne od uobičajene usled hladnoće. Metabolizam ćelija stvara otpadne materije. One moraju da se izluče. Svi "simtpomi gripa" kao i nazeba su zapravo izlučivanja: kašalj, sline, dijareja. Temperatura je samo pojačan rad enzima i sprečavanje bakterija da se razmnožavaju da bi lakše bile izlučene. "Dečije bolesti" su zapravo prilagođavanje metabolizma i imuniteta fazama rasta deteta, što prati povećano izlučivanje nusprodukata metabolizma, a to se manifestuje kroz simptome povećane temperature, izlučivanja kroz kožu i te promene na koži tumačimo kao male boginje ili zauške. Sve te "simptome" alopatska medicina sprečava "lekovima" koji su svi zasnovani na suzbijanju imuniteta. Onda nastaju kompilkacije koje kod starijih, sa već narušenim imunitetom i dugogodišnjim trovanjem od pogrešne ishrane, dovode do smrti.
Najveći broj mrtvih od korona "virusa" je nastao usled pogrešnog lečenja koje je propisala SZO a koje se sastojalo do najtežih antibiotika i imunosupresiva, čak i leka protiv side koji je veoma otrovan i štetan. Dakle, njima je sistematski uništavan imuni sistem. Lekari su morali da se pridržavaju tog protokola jer bi inače u slučaju smrti pacijenta bili tuženi. Izlečeni od korone su samo oni koji ipak nisu tako lečeni. Još veći broj mrtvih je nastalo lažnim prijavljivanjem da su "umrli od korone".
Takođe su umirali od 5G zračenja koje sprečava apsorpciju kiseonika u plućima. Zato su u Vuhanu ljudi padali na ulicama od gušenja, kada su im uključili 27.000 antena 5G. Od istih simtpoma i ptice padaju mrtve tamo gde su uključene antene 5G, i drveće se suši. Kao da su ceo cirkus zvani Korona pokrenuli zato da bi prikrili štetan uticaj 5G i takođe kao da su 5G postavili da bi pomogli pandemiju korone koja treba da uništi ekonomiju, mala i srednja preduzeća, gotovinski novac, i poveća robovlasničku moć elite koja vlada. Možda 5G samo tome i služi, da pomogne oko Korone. Znaju oni da je štetan i da je neodrživ. Već planiraju 6G.
Test PCR sa kojim se određivao broj "zaraženih od korone" ne služi za otkrivanje zaraznih bolesti. Njime se uopšte ne otkriva bilo kakav virus, samo se uvećava genetski materijal, i zavisno od broja uvećanja može se videti svašta, što već imamo u sebi a ne smeta nam. Ako se uveća do 20 puta, oko 50% ispitanih biće "pozitivno". Ako se uveća 45 puta svi će biti "pozitivni". Taj test je obična zloupotreba. On je od ranije poznat po svojoj netačnosti koja je veća od 50%.
U Africi su podmetali PCR testove sa uzorcima od biljaka i životinja i oni su proglašavani "pozitivnim", u EU i SAD su novi i neupotrebljeni testovi slati na analizu kao da su upotrebljeni na ljudima, i neki od njih su proglašavani "pozitivnim". Očigledno je da su testovi pripremljeni za pandemiju.
Pre ove plandemije PCR testovi su uspešno služili samo forenzičarima za utvrđivanje identiteta preko DNK. Oni su uzorke uzimali iz usta. Sada su taj metod promenili i uzorke uzimaju iz nosa. Zašto? Odgovor je jednostavan. Ako su sami testovi zaraženi, da bi se osoba inficirala nije prikladno sa se uzorci uzimaju iz usta jer na taj način toksin ne mora da se zadrži u telu, osoba može da ga ispljune, a i sama pljuvačka je dezinfekciono sredstvo. Da bi se toksin iz PCR štapića dobro ubacio u telo mnogo je praktičnije da se zavuče duboko u nos, do sinusa. Odatle lako može disanjem da se uvuče u pluća. Tako se i radi.
Kary Mullis, tvorac PCR testa već se od ranije zamerio farmaceutskoj mafiji zbog svojih kritičkih istupanja u javnosti, gde je tvrdio da ne postoji nikakav dokaz da HIV uzrokuje AIDS, (sve je to bilo samo "novinarska patka"), takođe je sredinom 2019 godine po ko zna koji put ponovio da njegov PCR test ne služi za otkrivanje virusa i da su sa njim moguće velike greške i zloupotrebe jer se sve svodi na tumačenje (isto kao u ovoj ranijoj izjavi od 28:50 minuta do kraja). Par meseci posle njegove iznenadne smrti pokrenuta je plandemija u kojoj je PCR test glavno sredstvo za otkrivanje "Korona virusa". Nekome je njegova smrt veoma odgovarala.
Ovih dana su pod uticajem razotkrivanja laži o "testu na virus korona" promenili izraze koje koriste u vezi testiranja pa je to sada postao "test na antitela na virus korona" iako antitela nemaju veze sa nijednim posebnim virusom, već na zatrovanost organizma koja može da postoji iz više uzroka. Koriste istu obmanu samo joj menjaju naziv kada počne da se otkriva, kao i uvek što rade.
Nošenjem maski vi dodatno trujete organizam tako da on proizvodi više antitela, za koje će oni nakon testiranja lepo da slažu da su to baš ona antitela koje izaziva prisustvo Covid-19 (iako na osnovu PCR testa nije moguće znati šta ih je izazvalo, na antitelima ne piše zašta su namenjena) i da ste zato pozitivni, zaraženi i strpaće vas u karantin.
Ne postoji nijedan naučni dokaz da maske štite od virusa, svi dokazi govore o štetnosti nošenja maski. Naređenje da se nose je nenaučno i štetno po zdravlje.
Međutim, PCR test uspešno služi forenzičarima za utvrđivanje identiteta. Da li ga sada masovno koriste i nameravaju da sve ljude sprovedu kroz taj test zato da bi imali DNK identitet svakog čoveka? Malo im je vaše lice, otisak prsta sa telefona i ostale informacije o identitetu sa društvenih mreža. Treba im i ovo da kompletiraju sliku o vama. Takođe da bi napravili vakcine koje će ciljano da deluju samo na određene DNK grupacije u populaciji, na primer, samo na crnce i kineze, radi njihove depopulacije.
Dakle, ova pandemija je zasnovana na kombinaciji laži koja se sastoji:
- od lažnih izveštaja umrlih, prijavljivani su svi umrli kao da su žrtve "korona virusa"
- od lažnog testiranja - RT-PCR test ne služi za otrkivanje virusa
- mnogi koji su se pokazali kao "pozitivni na covid-19" umrli su usled pogrešnog načina "lečenja" koje je podrazumevalo teško trovanje imunospresivnim otrovima ("lekovima") i upotrebu respiratora na pogrešan način (kada se pritisak vazduha smanji na minimum niko ne umire na respiratoru, to su otkrili u Nemačkoj a ta informacija se skriva od javnosti)
- mnogima koji su zaista imali pneumoniju stanje je izazvano 5G predajnicima (koji su se sistematski povremeno uključivali na određenim područjima da bi se povećao broj obolelih) u kombinaciji sa štetnim "lekovima" - frekvencija koju koristi 5G sprečava dotok kiseonika u pluća
- mnogi su umrli zatrovani PCR testovima
- nigde u svetu nije bilo niti jednog forenzičkog dokaza da je neko umro od virusa covid-19, sve se zasnivalo na medijskim lažima
Pandemija se održava kombinacijom 5G predajnika koji se mestimično i povremeno uključuju i manipulacijama broja umrlih i bolesnih, štetnim lečenjem i političkim razlozima. (SBB je još 2018 godine postavljao 5G antene u Srbiji, a sada nas lažu da tih antena nema.)
Na primer, u Srbiji, u Kruševcu se dogodio pomor malih ptica u blizini predajnika 5G. To znači da su ih uključivali povremeno (iako niko nema telefone na 5G). Nakon toga je proglašena vanredna situacija zbog povećanja broja obolelih. U Beogradu se uvodi policijski čas preko vikenda. Kao rešenje i prevencija da se "grip ne bi spojio sa Koronom" najavljuje se prinudno vakcinisanje vojske i policije, a da to ne bude sumnjivo, biće obavezno i za decu (da ljudi imaju o čemu dodatno da se brinu u plaše) i starije osobe kao i uvek. Opšte povećanje obolelih i vakcinisanje se tempira pre potpisivanja predaje Kosova do kraja godine. Potrebno je da narod bude dovoljno traumatiziran drugom brigom, da se pažnja skrene, i da vojnici i policajci budu dobro drogirani vakcinom da slučajno ne otkažu poslušnost. Pomoću nanočestica u vakcinama, koje dokazano postoje (kao "lipidne čestice"), oni mogu biti daljinski kontrolisani mentalno i emocionalno. (Nanočestice u vakcinama sada se zvanično nazivaju "lipidne čestice" - to je još jedno menjanje naziva da bi se sakrila istina.)
Na taj način sve je ovo politika a ne bolest. Jedina prava bolest na delu jeste mentalna, kod naroda koji sve ovo prihvata.
Obdukcija dokazuje da smrt ne uzrokuje virus nego neko elektromagnetsko oružje. Unutarnji organi "preminulh od COVID-19" su raspadnuti. To virusi ne rade.
Da se ovo ne bi svuda otkrivalo SZO je zabranila obdukciju umrlih od COVID-19. Navodno, da se patolozi ne zaraze. Sve se skriva i lažira da se javnost ne bi zarazila istinom. U normalnim vremenima mlad čovek ne bi bio primljen u bolnicu samo zbog povišene temperature i kašlja, ali i pored toga ako bi takav umro za koji dan tužilaštvo bi zatražilo obdukciju zbog sumnje na ubistvo. Sada živimo u "novoj normalnosti" gde se to sve prikazuje kao "normalno" i niko ne sme ništa da istražuje.
Niko u svetu nije umro od COVID-19 u svojoj kući ili izvan bolnice. Svi umiru samo u bolnicama. Možda zato jer su bolnice posebno finansijski motivisane da se to dogodi.
Svi se u javnosti povodom pandemije pozivaju na struku i nauku a upravo se naučni dokazi obolelih i umrlih od Korone zabranjuju i skrivaju. Njih uopšte i nema. Ne postoje dokazi iz forenzičke patologije o smrti od COVID-19. Kakvi to naučnici ne primećuju da ne postoje naučni dokazi za virus COVID-19 i smrtnih slučajeva koji on navodno uzrokuje? Naučnici se povodom ovoga dele na 90 i 10 procenata. 10 % je plaćenika farmaceutske industrije koji pored političara na mejnstrim medijima šire paniku o pandemiji i 90 % pravih naučnika sa najvećim kredibilitetom, među kojima su i nobelovci, koji govore da virus COVID-19 nije naučno dokazan i da pandemija nije opravdana, da je sve politička akcija, da tek treba istražiti od čega ljudi umiru. Njih mejnstrim mediji svrstavaju u "teoretičare zavera". Nauka je prva i najveća žrtva ove plandemije.
Veoma je lako odmah prepoznati tih 10% i kada ne stoje pored političara, jer im se na licu vidi da su psihopate.
Ministar zdravlja je konačno javno potvrdio da se ne zna uzrok smrti jer nema obdukcije. Obdukcija se zabranjuje da se ne bi saznao pravi uzrok smrti. Svaki drugi razlog zabrane obdukcije je besmislen jer se ona radi i na mnogo zaraznijim slučajevima. Tačna informacija o pravom uzroku smrti ljudi koji se vode kao umrli od korone, srušila bi celu laž o pandemiji.
Mnogi političari su javno otkrili da je cela epidemija sa "korona virusom" lažna predstava tako što su priznali da su među umrle od covid-19 pripisivali sve koji su umrli iz bilo kojih razloga, samo ako su bili pozitivni na PCR testu (i to da im verujemo na reč). Budući da se PCR testom ne otkriva nikakav virus, pa ni covid-19, to je dokaz da je sve bila samo prevara.
Ako se pitate od čega su umirali po bolnicama, odgovor daje njujorški lekar koji svedoči da ovakve simptome nije do sada video, da to nije virusna pneumonija. Ne bi bilo ni prvi ni poslednji put da farmaceutska mafija namerno ubija ljude da bi postigla svoj propagandni efekat (da su vakcine neophodne). Pri tome se oslanjaju na naivno verovanje mediokriteta da oni na vlasti i medicinski autoriteti a priori ne mogu prelaziti granice perfidnosti, da rade nenormalne i zločinačke stvari. Međutim, oni su tu granicu davno prešli toliko da je više i ne vide. Sav svoj profit uspešno grade sa one strane granice svega ljudskog i normalnog.
U njujorškoj bolnici Elmhurst sistematski ubijaju pacijente
Medicinska sestra je to snimila skrivenom kamerom
Erin Marie Olszewski je
medicinska sestra s 20 godina iskustva, koja je već sa 17 godina svog života
počela raditi u vojsci SAD-a. Svoja prva iskustva stekla je u ratnim uvjetima u
Iraku, gdje je bila ranjavana nakon čega je stekla čin narednice.
Kada je krenula pandemija SARS-CoV-2 virusa u SAD-u, radila je u privatnoj
bolnici na Floridi u kojoj su uz tretman hidroksiklorokinom i cinkom bili 100%
uspješni u liječenju “kovid” pacijenata. Bolnica nije imala niti jednog umrlog
pacijenta. S druge strane, u New Yorku je bio veliki pomor ljudi, stoga je Erin
odlučila svoje veliko znanje i iskustvo iskoristiti tamo gdje je ono bilo
potrebnije te je otputovala u javnu bolnicu Elmhurst koja je bila sam epicentar
epidemije. Nekoliko dana po dolasku u bolnicu u New Yorku, uvidjela je što se
tamo događa, odlučila je postati prikriveni novinar, stavljajući skrivenu kameru
i mikrofon na sebe te je odlučila idućih mjesec dana snimati što se događa u toj
bolnici istovremeno pomažući pacijentima.
SZO na svom sajtu zvanično potvrđuje svoje laži i obmane. Od marta 2020 nema gripa u svetu.

Pored virusologije, farmaceutska mafija je uspostavila i novu "struku" zvanu epidemiologija. Sva "stručnost" epidemiologa sastoji se u tome da vešto lažu ceo svet dok vas pažljivo gledaju u oči sa malih ekrana. Nakon redovnih sastanka sa predstavnicima farmaceutske mafije, čiji su plaćenici, i dogovora kako da vas lažu. I da između toga ne rade apsolutno ništa. Epidemiolozi su struka koja služi direktnom povezivanju interesa farmaceutske industrije sa medicinom, političarima i njihovim medijima.
Na kakvom se ludilu zasniva alopatska medicina jasno je po tome što se ona uopšte ne bavi uzrocima bolesti. Ako se i traži neki uzrok bolesti (da bi se zadovoljila forma i znatiželja naivnih lekara) onda važi pravilo faktora 1. To znači da se za uzrok prihvata samo ono prvo što se nađe. Nikada se ne ide dalje i šire, šta je uzrok tog uzroka.
Pored toga, osnovni princip zdravlja je regeneracija ćelija, sposobnost ćelija da same regulišu svoj rad i oporavljaju se. Šta bi drugo bilo onova zdravlja nego to? A upravo to se ne uči na medicinskim fakultetima, samo se uzgred spominje, to je tabu tema u savremenoj medicini. To sami lekari, oni malobrojni koji se interesuju za svoj rad i zdravlje ljudi, pokušavaju da otkriju i to moraju da rade na silu.
Pneumonija se vrlo efikasno leči većim količinama vitamina C.
Ovde su uputstva kako se priprema vitamin C.
Ali nijedna laž ne može večno da traje.
Tako je i sama virusologija sebe razotkrila i usavršila tako da nije mogla da izbegne istinu o sebi samoj.
Ovde je primer kako virusolozi razotkrivaju istinu o virusima.
Suština celog ovog projekta sa pandemijom je da stado samo prihvati svoje ropstvo.
Prema rečima Kisindžera od pre petnaestak godina: "Kada stado samo prihvati vakcinaciju, naša igra je gotova."
Reč 'stado' na njihovom jeziku glasi 'goji'.
Suština je u vakcinaciji.
Ljudi (stado) se na indirektan način, putem psihološkog pritiska, navode da vakcinaciju prihvate kao spas. Kada im dosadi da se guše noseći maske, kada požele da prestanu da se plaše da dodirnu svoje voljene, kada im dosadi "nova normalnost" koja zabranjuje sve što je normalno, kada zaključe da je ipak najvažnije da ponovo imaju posao - tada će srećni dočekati vakcinu kao spas od svega toga.
Neće im biti važno ni to što se ona spremala i najavljivala pre pandemije, ni njen sadržaj za koji se otvoreno govori da će imati nanočestice preko kojih će moći da ih stalno prate, određuju raspoloženja i stanje svesti - ne samo da im to neće biti važno već će to dočekati kao novu sigurnost, samo da prestane haos u svetu (koji su izazvali prodavci vakcine). Imaće blažen osmeh, isti kao ona žaba u loncu.
Dakle, oni nam ne nameću vakcinaciju i celu ovu igru oko sve većeg porobljavanja. Ne, oni su manjina i ne mogu da budu jači od velike većine. Oni moraju da navedu većinu da se sama porobi.
Uspešan čovek ne menja stvari, on samo stvara okolnosti da se stvari same dogode onako kako želi.
Stoga oni samo stvaraju mentalno uslovljavanje koje će u sve većoj meri postati takvo da će stado samo da prihvati vakcine i ropstvo preko veštačke inteligencije.
Kako ga stvaraju?
Jednostavno tako što učine da se sve više otvoreno govori o tome. O svim zaverama se sve više i više govori i "otkriva". Bžežinski je otvoreno opisivao u svojim knjigama sve njihove planove i ratove. Kisindžer je takođe sve otvoreno i pošteno govorio. Planovi sa sastanaka Bilderberga, iako su navodno ultra tajni, uvek dospeju u javnost. Oni znaju da se istina ne može sakriti. Samo bi uzalud gubili energiju u njenom skrivanju. Zato je sami iznose preko raznih "insajdera" i "teoretičara zavera" samo sa ciljem da bude što više prisutna u narodu da bi se narod navikao na sve to. Bil Gejts izgleda kao ludak dok govori da treba pobiti većinu stanovništva vakcinama, kada otkriva da je sam finansirao i zarazu i vakcinu protiv nje. Zašto bi neko ko je uradio nešto tako nenormalno to javno i otkrio? On to radi vrlo smišljeno i namerno, (ne on sam, suviše je glup za to, već po programu onih iznad njega), to je vrhunska psihologija na delu. Cilj je samo da to bude rečeno, da vi to upijete, da uđe u vašu podsvest - ništa drugo. Samo da se što više govori o vakcinama, o AI, o transhumanizmu, bankarskim lopovlucima, makar i kritično, važno je samo da se što više ponavlja ta tema. Ako se dovoljno puta ponovi, od strane medija i autoriteta kojima se veruje, makar to bila i najveća nenormalnost, ona će postati podrazumevana u vašoj podsvesti i doći će trenutak kada će postati prihvaćena kao normalna.

Dotle, nosite maske.
Ali pravilno, kao što je prikazano na slici.
Ako su virusi zaista onakvi kakvim ih predstavljaju, onda oni lako ulaze u telo i kroz oči. Zato morate da zaštitite i oči.
Svi oni koji su vam govorili da nosite maske sa nezaštićenim očima pravili su vas budalama.
Sve to se još obilno zaliva filmovima i serijama. Ima ih na desetine u kojima je godinama unapred predstavljeno šta će se događati danas.
To se naziva prediktivno programiranje. Subliminalno vam ubace neki sadržaj na koji se vi podsvesno naviknete i onda kada se to stvarno dogodi to vam dođe kao podrazumevana stvar, jer vi ste to već imali u podsvesti.
Oni sve svoje tajne skrivaju na otvorenom, da se naviknete na njih kao na jedinu stvarnost, da vam i najgore stvari postanu "prirodne". Perverzije su postale naše "pravo izbora" i "slobode", ljudski svinjac iz rijalitija postao je deo vašeg doma. To je nekada bilo nezamislivo. Ljudi su se do nedavno stideli onoga što je danas "normalno", išli su u zatvor zbog onoga što se danas promoviše i deci uči u školama.
Pre nego što svoje planove počnu da ostvaruju u realnosti, oni ih uvek prvo ubace u vašu podsvest, godinama unapred, malo po malo, tako da se nesveno naviknete na njih. Tada ih mnogo lakše prihvatate kada postanu realnost, ma koliko nenormalna.
Oni svoje planove nikada nisu ni skrivali, jer znaju da je javnost dovoljno slepa i zatucana.
Možda se malo bunite ali ništa konkrentno ne činite, samo gunđate, jer već je u nekom filmu neki 'junak' već učinio šta treba, sredio je loše momke iz 'duboke države'. Još ćete sa zluradim osmehom da "otkrijete" kako su još onda u 'tom i tom' filmu sve ovo predvideli. Nećete čak ni da primetite da u svim tim filmovima nikada krivac nije sam sistem, već uvek neki zli pojedinci koji zloupotrebljavaju sistem. I nastavićete da živite u istom tom sistemu. Kao zombi. Filmovi o zombijima govore o vama, navikavaju vašu podsvest na buduću realnost. Pored toga što su idiotska ali zato vrlo uspešna promocija "nauke" o virusima.
Cela stvar je virtueleno predstavljena samo zato da bi se virtuelno i rešavala.
Tome služi Holivud, jezuitsko pozorište koje vode cionisti.
Da bi se vaša pasivnost pojačala i onesposobila snaga za stvaran otpor, dobro su vas nahranili sa fluorom, koji uništava volju i samoinicijativu. Fluor uništava hipofizu, a ona je ključna za sposobnost povezivanja sa višom svešću, savešću i dušom. U istim količinama stavljali su ga u vodu logorašima u nacističkim i staljinističkim logorima, da budu mirni i pasivni, dobri građani svoga logora. To ste vi danas. Fluora ima najviše u flaširanim vodama za piće, vodovodu, pastama za zube i "sokovima". Zato svi sve znaju o zaverama a ništa konkretno ne čine. Hemijski su onesposobljeni za činjenje. Zbog istih razloga zbog kojih su nekada padale glave, danas se vodi večiti talk šou sa semaforima za smeh i aplauz publike. I problem i rešenje su premešteni u virtuelnu realnost. Simulakrumi i simulacije na delu jedini su Matriks koji postoji.
Uvek su veći problem bili oni koji zlo dopuštaju i ništa ne čine, nego oni koji ga čine. Najveći satanistički zločini se događaju samo zato jer ste ih vi dopustili svojim neznanjem i nečinjenjem. Zlo se čini samo zato da bi se ljudi naterali da nešto dobro učine.
A možda se sve ovo radi samo zato da se ovaj svet pročisti od maloumnih mediokriteta kojih je previše. Na delu je prirodna selekcija, da ljudska vrsta ojača, sa pravim ljudima. Maloumni mediokriteti ne trebaju ovom svetu, samo ga opterećuju i zagađuju. Ako pristanete da budete zombi, to ćete i biti. Nema problema. Niste uspeli, idete na reciklažu. Nije ovo prva civilizacija na ovoj planeti koja nije uspela. Bilo je još naprednijih.
Priroda počiva na slobodi da bude sve što može da bude. Sloboda je mač sa dve oštrice, ona podrazumeva i slobodan izbor ropstva. I život i smrt.
U činjenici da je sloboda mač sa dve oštrice leži šansa. Nikada ljudi nisu bili svesniji stvarnosti u kojoj žive, nego danas kada je zavera protiv ljudi najveća, kada su laži najveće. Ljudi se danas bude više nego ikada u istoriji. Veći pritisak na svest izaziva veću svesnost u ljudima. Zato što je svest u osnovi života i postojanja.
Da li ste vi pravi čovek ili deo stada koje nosi krpene brnjice?
Ljude koji rade u zakonodavnoj, izvršnoj i sudskoj vlasti, treba pitati u lice da li su oni još uvek ljudi ili dresirani psi, da li su spremni da ugroze svoje i živote svoje dece radi izvršavanja naređenja od onih koji nas truju i lažu.
Vi ste jači od njih.
Oni su jaki samo onoliko koliko se vi predajete i ostajete pasivni.
Vi ste snaga vaših porobljivača. Oni su bez vas nemoćni.
Samo se okrenite protiv njih, ne budite protiv sebe.
Oni postižu svoje ciljeve pomoću kontrole informacija, oblikovanjem javnog mnjenja.
Vi ste to javno mnjenje.
Počnite da ga oblikujete sami.
Ne trebaju vam za to veliki mediji, već imate sve što je potrebno.
Samo što više širite ključne informacije:
- da je priča virusu covid-19 laž;
- da on nije nigde, nikada izolovan i dokazan, njegova slika i svojstva su lažni;
- egzozomi se lažno prikazuju javnosti kao da su virusi;
- da je PCR test na covid-19 lažan, da se njime ne otkriva nakakav virus;
- da nema ni jednog jedinog dokaza na osnovu forenzičke patologije da je neko umro od covid-19 "virusa";
- da je cela pandemija godinama unapred pripremana do detalja.
- da su mere zaštite daleko izvan zdravstvene zaštite, večina se odnosi na veću kontrolu i smanjivanje prava i sloboda građana
Samo ovo što više širite na sve moguće načine, od grafita na zidovima do društvenih mreža, razgovarajte o ovome sa svima, i ne prestajte. Zatrpajte javnost ovim infomacijama i pobedićete.
Pobeđuje samo onaj ko ima veću prisutnost informacija u javnosti, ko napravi veću buku.
Nije važno ko šta i koliko razume, važna je samo buka, da to stalno vibrira u vazduhu. Tako se stvara javno mnjenje. Tako oni rade. Tako radite i vi.
Veća vibracija će pobediti.
Proizvedite onu vibraciju za koju želite da pobedi, u kojoj želite da živite.
Ako to ne uradite, onda ste zaslužili i najgori scenario.
Nije važno samo ono što radite, jednako je, ako i ne i važnije, ono što ne radite, a trebalo je.
Ako može ova simpatična bakica iz SAD - možete i vi.
Detaljna uputstva kako da se deprogramirate od plandemije
Jedina potpuno efikasna zaštita od 5G mreže jeste da uklonite one koji je postavljaju.
Već planiraju sledeću fazu ove pandemije na jesen i zimu, a onda neće na udaru biti starački domovi već vaša deca.
Ako već nemate petlju da nešto konkretno učinite - da sve te sataniste, glavne pokretače ovog zla poubijate po kućama - a to ne bi bilo dobro ni za vas, za higijenu vaše karme, bilo bi protivno principu Ho'o ponopono, holografskog univerzuma - onda primenite Ho'o ponopono: zahvalite se Kisindžeru i on će odmah da crkne od muke. Prevedeno sa jezika Ho'o ponopono na hrišćanski jezik, ljubite neprijatelja svoga, okrenite i drugi obraz kada vas udare. To znači da svesno prihvatate da se sve ovo događa zbog vas, da biste vi toga bili svesni, da ste svesni subjekt objektivnog dešavanja. Tada će to prestati da se događa. Stvari se ponavljaju i mi smo zarobljeni u istoj destruktivnoj situaciji samo kada ne prihvatamo da se sve to događa zbog nas, kada odgovornost prebacujemo na nekog drugog, spolja, kada čekamo da neko drugi reši stvar ili da se one same reše.
Princip Ho'o ponopono samo površno gledano deluje pasivno, on zapravo direktno pokreće svest da postane aktivan činilac koji rešava sve probleme - svest koja je u osnovi samoga postojanja.
Ako jedan procenat ljudi u svetu bude svestan i zahvalan na svemu ovome, to će automatski da deluje oslobađajuće u celom svetu.
Ako svesno i celim bićem prihvatimo da postojimo u svesnom, božanskom svetu, da je ceo ovaj svet naše telo, onda će božanska sila sve da reši. Vi ste njen svesni subjekt. Samo ako je vi odbacujete, ona neće delovati. Ako ne čuvate svoje telo (svet) povredićete se ili razboleti.
Samo kada prepoznate ovaj svet kao svoje telo, svoje pravo biće, moći ćete lepo da živite u njemu.
Ako svet doživljavate kao nešto strano i suprotstavljeno, i on će tako da deluje na vas. Kao ogledalo.
Sve činite sami sebi.
Sve je oduvek bilo tako jednostavno u ovom holografskom univerzumu.
******************************************
Predlog za borbu protiv vakcinacije
Budući sa se kampanja vakcinacije zasniva na kontroli uma pomoću snažne propagande,
odnosno stvaranja egregora ili javnog mnjenja koje vakcinaciju prikazuje kao najvažniju pojavu i istoriji čovečanstva,
taj egregor se može srušiti njegovim naduvanjem i dovođenjem do apsurda i pucanja.
Svuda postavljajte slike špriceva i reč "vakcina", po svim gradovima, na svim zidovima, neka ta reč i slika šprica (ili bez slike) bude svuda vidljiva.
Pored njih mogu biti kratke afirmativne poruke za vakcine, kao:
"Bez vakcine ne možete da živite", "Bodite sebe i svoju decu do kraja života" "Samo vakcinisani su normalni" "Vakcine ispravljaju grešku prirode koja vas je stvorila" ...
Ništa drugo nije potrebno. To će izazvati kontraefekat za svaku propagandu koja vakcinaciju prikazuje kao pozitivnu.
Na ovaj način, umesto da se iscrpljujuće borite protiv njihove propagande, vi ćete je uveličati i ubrzati dok se ne raspadne u sopstvenom besmislu.
Sve laži uspevaju samo u mraku nesvesnosti i neznanja. Zato snažno osvetlite ovu laž i ona će se istopiti.
**********************************************
Saturn i Jupiter zajedno i istovremeno ulaze u znak Vodolije u vreme zimske kratkodnevnice 2020 godine. A tu blizu u Jarcu je i Pluton da osigura da cela stvar ode do kraja.
Više ništa neće biti isto.
U suštini samo će se skratiti vreme u kome možemo da živimo pasivno i u lažima. Više nećemo moći tako da živimo kao do sada. Vodolija širi istinu, povezuje ljude u istini. Istina će sve brže da izlazi na videlo, istina će sve više da bude merilo života. Od tada otkriće se mnoge velike laži u svetu. To je već počelo jer orbisi tih planeta su blizu i oni deluju.
Prošlo je vreme pasivnosti. Sada je na ispitu naša sposobnost za aktivno delovanje u korist istine i života.
To je sve što se sada događa.
Nije moglo na drugačiji način nego direktnim suočavanjem sa svojim iluzijama i pasivnošću. COVID-19 je samo kulminacija naše bolesti pasivnosti i iluzija. Naše suočavanje sa sobom, sa istinom o nama jeste suština ove plandemije.
Zahvalite se onima koji vas na silu teraju na to, koji vam na silu pomažu da se suočite sa istinom. Vi sami ne biste nikada to izveli, nastavili biste da spavate i dalje.
Ovakvo razumevanje i zahvalnost je jedina ispravna formula da sve ovo prestane i uspešno se okonča.
Mislim da vas onaj Pluton u Jarcu, uskoro i u Vodoliji, i Saturn u Vodoliji jednostavno neće pustiti da nastavite da živite u iluziji. Jer tada ne živite uopšte.
Pluton i Saturn su bogovi istine koji nemaju milosti. Ako vide da i pored svih ovih laži ne želite da živite u istini i stvarnosti - ispuniće vam želju.
Ključni datumi ovog velikog čišćenja i prirodne selekcije jesu početak proleća 2023 godine kada Pluton ulazi u Vodoliju, i 21 januar 2024 kada zajedno sa Suncem konačno ulazi u Vodoliju i tu ostaje sledećih 20 godina. Tada će doba Vodolije krenuti punom parom.
Svet neće biti isti od tada.
Od vas zavisi kakav će biti, da li ćemo tada u njega ući kao programirane ovce ili kao slobodoumni ljudi. Uveliko vas pripremaju da u taj novi svet uđete kao ovce i ostanete ovce. Ali svest ljudske duše je najmoćnija sila i nezavisna je od svega, ovaj svet je polje slobodnog ispoljavanja svih mogućnosti koje postoje kao paralelne realnosti. Stoga sudbina nije predodređena već zavisi od svesti u sadašnjem trenutku, svest bira budućnost svakog trenutka, bira jednu od svih paralelnih realnost koja će iz potencijalnog preći u aktualno stanje. Samo je nesvesnim ljudima sudbina predodređena.
********************************************************************************
Četvrta industrijska revolucija ne može da se nastavi sa raznim Talibanima (islamskim, hrišćanskim i jevrejskim), sa populacijom koja u glavama i dalje ima vrednosti i ideologije Srednjeg veka. Ako oni dobiju naprednu tehnologiju Četvrte industrijske revolucije, sasvim sigurno će je iskoristiti za potpunu propast sveta. To je izgovor Iluminatima za pokretanje depopulacije.
Kada je Bil Gejts otvoreno najavljivao vakcinisanje celoga sveta radi depopulacije (u 52:51 - 54:30 minutu ovog dokumentarca o svim lažima plandemije Covid-19) i svođenja svetske populacije na "zlatnu milijardu", prećutao je da će tu "zlatnu milijardu" sačinjavati nevakcinisani.
********************************************************************************
Dokaz o postojanju virusa
mora da sadrži tačan opis (proceduru) kako je izolovan, odakle je uzet, datum
kada je to urađeno i u kojim uslovima, fotografiju preko elektronskog mikroskopa
izolovanog virusa i sve to treba da bude objavljeno u relevantnoj publikaciji
dostupnoj javnosti.
Ako se smatra da je određeni virus uzročnik bolesti, to znači da se mora tačno
navesti ime obolelog od koga je uzet uzorak i opisati postupak kojim je izolovan
virus ubačen u eksperimentalnu životinju (sa svim podacima o njoj i njenom
prethodnom zdravstvenom stanju) i kako se razvila identična bolest u toj
životinji.
Svega toga, verovali ili ne, nema ni u jednoj publikaciji.
Ono što se danas predstavlja u udžbenicima kao izolovan virus zapravo to nije. Sve fotografije "virusa" napravljene su veštački (obavezno sa šiljcima zlokobnog izgleda kao podvodne mine) zbog prevare koju smišljeno sprovode istraživači i medicinski naučnici koji tvrde da su to, što pokazuju slike, izolovani virusi koji izazivaju bolesti.
Virusi ptičijeg gripa ili HIV-a - jednostavno ne postoje i nikada nisu izolovani.
Šta su onda "virusi" koji se prikazuju kao snimci pod elektronskim mikroskopom?
Sve su to okrugle formacije koje svaki
molekularni biolog može da prepozna - veštački proizvedene čestice (fragmenti)
koji se sastoje od masti i albumina.
To što se u medijima pokazuje kao virus H5N1, HIV i dr. zapravo su
normalni sastavni delovi ćelije (ili čitava ćelija), koji su se u procesu
metabolizma našli u fazi unošenja ili iznošenja genske supstance iz ćelije. Ili
obične fotomontaže.
Sve fotografije novootkrivenih "virusa" u novinske agencije i medicinske udžbenike stižu iz američkog Centra za kontrolu i prevenciju bolesti, sa sedištem u Vašingtonu, i koji je pod kontrolom Pentagona.
Savezni sud Nemačke potvrdio da ne postoji virus malih boginja
Istorija odnosa Pastera i Bešampa. Cela današnja alopatska, korporativna, farmaceutska medicina bolesti, a ne zdravlja, zasniva se na prevarama i lažima Pastera koji je izmislio "besnilo" (u stvarnosti to je nervno rastrojstvo životinja zbog parazita kojih ne mogu da se oslobode) i svoju vakcinu protiv "besnila" sa kojom je pobio više ljudi, kao i glavnu teoriju koja je i danas temelj medicine: da su virusi koji lete okolo kao teroristi glavni neprijatelji čovekovi.
I dok Pastera slave kao spasioca čovečanstva, Bešampa, koji je dokazao jednostavnu istinu da sve ćelije i virusi nastaju iz mikrozima (somatida) u telu, i da se od njih razgrađuju - njega degradiraju i potiskuju na sve načine. Te mikrozime se mogu videti pod mikroskopom u živoj krvi. Zato je praksa medicinara da pod mikroskopom posmatraju samo mrtvu i ofarbanu krv da ih ne bi videli. Nije jasno na kakvoj se inteligenciji zasniva obrazovanje lekara kada ne vide ovako krupne razlike koje postoje između postavki Pastera i Bešampa. Ne vide ono u šta gledaju već samo prihvataju ono što im je rečeno da su videli. Da bi se takvo "obrazovanje" potkrepilo dobijaju lepa zvanja, titule i društveni status kao sveštenici u belom - koja još bolje prihvataju.
Paster je počinio prevaru u svim svojim poduhvatima. Ali bio je dovoljno human, da svoje prevare dokumentuje u dnevnike paralelno sa osnovnim laboratorijskim knjigama. Odlučio je da se ti zapisi nikada ne smeju objavljivati. Njegova je porodica stekla veliko bogatstvo. Ali poslednji muški predak Pastera nije se pridržavao te uredbe i predao je zapise na univerzitet Princeton, a 1993. godine profesor Gerard Geisson objavio je analizu na engleskom jeziku koja je otkrila da je Paster počinio masovnu prevaru u svim svojim studijama. Na primer, testirane životinje, ako su preživele, nisu ni bile vakcinisane, životinje kontrolne grupe koje su uginule bez vakcine, tajno su bile otrovane, i tako dalje.
Dr
Louis de Brouwer je
doktor medicine, specijalista za molekularnu biologiju i homeopatiju. U junu
1990. godine odbranio je doktorsku disertaciju na medicinskom fakultetu
Univerziteta Rene Dekart (Pariz) na temu: " Odnos između lekara i društva". Dr
L. Brouwer je potpredsednik Međunarodne lige "Lekara za zabranu vivisekcije" (LIMAV).
Član odbora direktora Međunarodnog društva lekara za zaštitu životne sredine (ISDE).
Autor je preko 12 naučnih radova.
Najpoznatija djela su mu:
"Rak, genetska fatalnost" izdavač LDB 1981.
"Trovanje hranom i rak " izdavač "Ancre" 1990.
"Crni dosije sintetičkih lekova " izdavač "Ancre" 1991.
"AIDS: zamračenje razuma", izdavač ATPA / STG AG, Švajcarska, 1993.
"Vakcinacija: medicinska greška veka", izdavač, Louise Courteau 1997.
http://www.amessi.org/Vaccination-erreur-medicale-du,301
Louis de Brouwer - Farmaceutska i prehrambena mafija
Torsten Engelbrecht i Claus Kihnlein - delovi iz njihove knjige: "Virus Mania"
Detaljnije o tome kako farmaceutska mafija izmišlja viruse i opasnosti od njih.
Virusi žive u simbiozi sa organizmom u kome se nalaze i ne prenose nikakve bolesti.
Virusi i bakterije su indikatori, a ne uzročnici bolesti.
Javljaju se tek onda kada je organizam već bolestan. Bolestan organizam ih proizvodi iz somatida. I oni su sastavni deo procesa ozdravljenja.
I tek onda sa bolesnog mogu da se prenesu dalje, u vrlo ograničenoj meri, jer većinom ne mogu da opstanu izvan organizma u kome su nastali. Ako nekako dospeju u novi organizam, od tog organizma će zavisiti da li će on razviti istu bolest ili neće, a ne od samog virusa kao prenosioca.
To se i danas radi.
EBOLA - sredstvo vojne kontrole rudnika dijamanata i nafte
Nigerijska nafta se kontroliše teroristima Boko haram-a koje je stvorila i naoružala vlada SAD. Njihove akcije izazivaju reakcije vojske koja tako jača kako bi lakše suzbila težnju naroda da nigerijska nafta ostane njima, a ne međunarodnim teroristima, tj. korporacijama.
Siera Leone je jedan od najvećih proizvođača dijamanata. Proizvode ih deca i ostali robovi u užasnim uslovima. Poslednjih meseci su u štrajku. Ranije su njihovi štrajkovi rešavani vojnim terorom i ubijanjem radnika. Danas to nije dovoljno i potrebne su međunarodne snage.
U Liberiji su počeli da napadaju radnike Crvenog krsta zbog nasilne vakcinacije i masovne smrti i bolesti koje su vakcinama izazvani. Da bi se to sprečilo jer daje loš primer, potrebne su međunarodne vojne snage.
Zato je laboratorijski izmišljena Ebola koja se širi samo među vakcinisanima.
Dokaz da je Ebola izmišljena je u tome što je klinička slika Ebole potpuno ista kao kod malarije.
To dokazuje da Ebola jeste malarija.
Da bi se razumelo kako je to bilo moguće u ranijim vremenima, treba poznavati pravu istoriju.
*******************************************
*******************************************
Dr. stefan Lenka je pred sudom dokazao da ne postoje virusi
Savezni sud Nemačke potvrdio da ne postoji virus malih boginja
Dr. Stefan Lanka,
virusolog, poznati je „vakcinoklast“, pripadnik „Nove medicine“, čovek koji ne
priznaje nauku kao tabu i polje posvećenih, a između ostalog, ponudio je 100.000 eura onome ko donese dokaze o izolovanju virusa boginja!
Doktore Lanka, da li smo ovde u našim krajevima (Nemačka) u opasnosti od ptičijeg
gripa?
- Samo posredno. Sledeće godine možemo očekivati veliki pad nataliteta - po
medijima će sve rode poumirati od ptičjeg gripa. Moramo se pripremiti na tako
nešto.
Vi to ozbiljno?
- Toliko ozbiljno koliko nas ozbiljno ugrožava virus ptičijeg gripa H5N1. Prava
opasnost tj. katastrofa počiva u nečem sasvim drugom.
A u čemu po vama počiva katastrofa ili opasnost?
- Počiva u tome što smo se odvikli od korišćenja razuma. To je prava opasnost ili
katastrofa. Politika i mediji nam serviraju laži o bilo čemu, na primer o tome da
su se ptice selice zarazile smrtno opasnim virusom u Aziji. Smrtno bolesna ptica
onda leti više sedmica, preleti hiljade kilometara, potom zarazi u Rumuniji,
Turskoj, Grčkoj i drugde, kokoške, guske i ostalu perad sa kojom nije bila u
kontaktu, a ta se odmah razboli i umre! Ali te ptice selice ne umiru još nego
lete dalje. Ko tome veruje, veruje i da decu donose rode. A većina ljudi u
Nemačkoj zaista veruje da smo ugroženi ptičjim gripom.
Dakle, ne postoji nikakav ptičji grip?
- Od kraja 18. veka praćena su oboljenja živine gajene masovno: modrenje kreste,
smanjenje nosivosti jaja, olinjalo perje a nekad i uginuća. Ta oboljenja su
nazivali ptičjom kugom.
Kod savremenog masovnog gajenja živine, naročito piladi i kokoši u kavezima, umire
dnevno mnogo životinja zbog neprirodnih i loših uslova života. Kasnije se te
posledice neprirodnog gajenja ne nazivaju više ptičja kuga, već ptičji grip. Već
neku deceniju slušamo uveravanja i tvrdnje da je uzrok tome zarazni virus, samo da bi
se skrenula pažnja sa pravih uzroka.
Dakle tih 100
miliona životinja, ubijenih navodno ptičjim gripom, u stvari je pomrlo zbog
stresa, oskudice ili trovanja?
- Ne! Kad kokoška
nosi malo jaja ili joj poplavi kresta a još se i prokaže kao H5N1 pozitivna,
pobiju se i sve ostale kokoške. Tako je došlo do tih 100 miliona peradi, navodno
ubijenih virusom H5N1.
Kad pogledamo malo bolje, vidimo decenijama staru, osvedočenu strategiju: na
Zapadu se velika preduzeća time obogate jer za životinje, žrtve „epidemije“,
dobijaju od države najveće nadoknade, dok u Aziji i svuda gde se uspešno gaji
živina su tamošnja uzgajališta likvidirana - namerno, pod palicom OSNFAO
(Organizacija za hranu i poljoprivredu).
Svi uzgajivači na Zapadu zato ćute a kad na tržištu padaju cene živine,
postaraju se preko svojih veterinara da se dijagnostifikuje „epidemija“, da bi se
„oslobodili“ živine uz veći profit, za, državom garantovanu, najvišu cenu i to
svega odjednom. Da rezimiramo: radi se o mahinacijama sa novčanim potporama, dok
je u javnosti izazvan parališući strah koji, usput, takođe garantuje da se niko
ništa neće pitati.
A od čega je umrlo 61 ljudi kod kojih je nađen virus H5N1?
- Na žalost, postoji veoma malo javnosti dostupnih izveštaja, opisa kakvi su
bili simptomi i kako su bili lečeni ti ljudi. Ipak se u tim slučajevima
pokazuje: ljudi sa znacima prehlade, na nesreću uhvaćenih od strane lovaca virusa
H5N1, bili su ubijeni neverovatnom količinom hemoterapije koja je trebala da
zaustavi virus-fantom. Izolovani u plastičnim šatorima, opkoljeni ludacima u
skafanderima, umrli su u paničnom strahu zbog otkazivanja mnogobrojnih organa.
Po ovom, dakle, virus ptičijeg gripa ne postoji?
- Kod čoveka, u krvi ili drugim telesnim tečnostima, kod
životinja ili biljaka
nikad nisu otkrivene ili dokazane strukture koje bi se mogle označiti kao virus
gripa ili ptičjeg gripa ili bilo kakav uzročnik bolesti. Uzroci bolesti, o
kojima se tvrdi da su uzrokovane virusom kod životinja, i bolesti koje se mogu
pojaviti brzo, postupno ili istovremeno kod mnogo pojedinaca, već su dugo
poznati.
Štaviše: virusima kao uzročnicima bolesti, i pored najbolje volje, nema mesta u
biologiji.
Samo ako se tvrdoglavo ignorišu saznanja Nove medicine dr.Hamera, po kojima su
uzročnici bolesti konflikti i šokovi; istraživanja hemije o učincima trovanja i
oskudice, te fizike o posledicama zračenja, može se govoriti o besmislici kao
što je „zarazni virus“.
Zašto se onda i
dalje tvrdi da virusi prouzrokuju bolesti?
- Zato sto školska medicina mora imati kao osnovu svog postojanja zaglupljujući i
uništavajući strah od takvih virusa. Kao prvo, da bi mogli masovno upropastiti
ljude vakcinama i tako obezbediti masu poboljevajućih i hronično bolesnih ljudi
kojima možete raditi šta hoćete.
Kao drugo, da ne moraju priznati da su u lečenju hroničnih bolesti totalno
podbacili i da su ubili i ubijaju više ljudi nego svi dosadašnji ratovi zajedno.
Svaki lekar je toga svestan ali veoma malo ih se usuđuje da o tome govori. Zato
nije čudo da je kod lekara najveći broj samoubistava i to sa velikom distancom u
odnosu na druge profesije.
Kao treće, školskoj medicini je potreban taj zaglupljujući, parališući strah od
đavolskih virusa da bi mogli maskirati svoje poreklo - alatka porobljavanja i
ubijanja u službi ekspanzionističke moći Vatikana.
Školska medicina bila je i jeste oslonac svih diktatura i vlada koje se ne
rukovode pisanim zakonom, ustavom, ljudskim pravima, tzv. demokratski
ustanovljenim društvenim poretkom. To takođe objašnjava zašto školska medicina
sve može i sme, pri tom ne podležući kontroli. Ako to ne sprečimo,umrećemo svi od
te medicine.
A da malo ne preterujete?
- Na žalost, ne! Svako ko otvori oči, videće to. Ivan Illich je na to upozoravao
još 1975. u svojoj analizi “Oduzimanje vlasništva zdravlja“. I danas možete naći
tu knjigu pod nazivom “Medicinski nemezis“ (Medical Nemesis).
Gete opisuje stanje školske medicine veoma dobro u Faustu, gde dr.Faust
priznaje:
- Postojao je lek i pacijenti su umirali i niko se nije pitao ko će ozdraviti. I
tako, s đavolskim naporima po tim dolinama i tim planinama divljasmo više nego
kuga, ja sam sam hiljadama dao otrov i oni venuše i sad slušati moram kako hvalom
hvale bestidne ubice.
Gete, školske lekare koji daju lekove tj. otrovne supstance, zove bestidnim
ubicama što ih i dan danas hvalimo.
Moram i hoću da ukažem ovde na naše publikacije, jer smo kao prvi modernoj
medicini položili smela pitanja, a priznanja smo dokumentovali i komentarisali.
Kako ste upravo vi naišli na tu podvalu stoleća?
Studirao sam molekularnu biologiju. Tokom studija sam dokazao prisustvo prvog
virusa u moru, u morskoj algi. Taj dokaz virusa bio je po biološkom standardu prvi
put u javnosti u jednoj naučnoj publikaciji.
Taj virus se u algi razmnožava, može da je napusti i da se razmnožava dalje u
algama iste vrste bez ikakvih negativnih posledica i taj virus nema nikakvu vezu
sa bilo kakvom bolešću.
Tako se npr. u litru morske vode nalazi preko 100 miliona najrazličitijih
virusa. Na sreću to nisu primetili zdravstveni uredi i lekari inače bismo već
odavno imali zakon koji dopušta kupanje u moru samo u specijalnom kondomu.
Biološke strukture koje bi uzrokovale nešto negativno, još nikad niko nije
video. Osnova biološkog života je spoj, simbioza i tu nema mesta za rat i
uništavanje. Pripisivanje takvih stvari biološkom životu je proizvod bolesnih i
kriminalnih mozgova.
Tokom studija, ni ja, ni drugi nikad nismo našli dokaz o postojanju zaraznih
virusa. Kasnije smo s tim izašli u javnost i pozivali ljude da ne veruju ni nama
nego da sami proveravaju da li postoje virusi koji izazivaju bolesti. Iz toga je
ponikla akcija „klein-klein“, koja je više od pet godina tražila dokaze po zdravstvenim
uredima i na kraju dobila priznanje i uverila se da zaista ne postoje dokazi o
zaraznosti virusa te ni dokazi o smislu vakcinacije. Da bismo sve te rezultate
traganja mogli objaviti i bez falsifikata i iskrivljavanja, osnovali smo, pre 3
godine, izdavačko društvo Klein-klein verlag.
(http://www.klein-klein-verlag.de/)
Kakvi, onda, virusi uopšte postoje i šta rade?
- Biološke strukture zvane virusi bile su nađene u mnogim vrstama bakterija kao
i u jednostavnim organizmima koje još ne liče na bakterije. To su bio-jedinice
koje su sačuvale samostalnost u saživotu raznih ćelija u zajedničkom ćelijskom
tipu. To je simbioza, endosimbioza koja se razvila u procesu spajanja raznih
ćelijskih tipova i struktura, od koga je postao sadašnji ćelijski tip od koga se
sastoje ljudi, biljke i životinje.
Isto kao bakterije u našim ćelijama - mitohondrije - koje za nas dišu kiseonik, ili
bakterije u svim biljkama - hloroplasti - koje proizvode kiseonik, tako su i virusi
deo ćelije.
Veoma važno: virusi su sastavni delovi veoma jednostavnih organizama kao npr.
nekih algi i mnogih bakterija. Te virusne čestice tamo nazivamo fagima. Nasuprot
tome, kod kompleksnijih organizama (čovek, biljka, životinja), još nikada nisu bile
nađene strukture koje bismo mogli označiti kao viruse.
Nasuprot bakterijama u našim ćelijama, mitohondrijama, ili bakterijama u
biljkama, hloroplastima, koje ne mogu da napuste zajedničku ćeliju pošto zavise od
razmene materija u njoj, virusi mogu napustiti zato što u ćeliji nemaju ulogu
neophodnu za život.
Virusi su, dakle, delovi ćelije, koji su svu svoju razmenu materija preneli ćeliji
i mogu je zato napustiti. Pomažu, pak, ostalim ćelijama time što prenose gradivne i
energetske materije. Ništa drugo nikad nije ni bilo viđeno.
Zapravo, prirodnonaučno dokazani virusi imaju, u okvirima visoko složenih dešavanja
među ćelijama, pomoćnu i potpornu, a ne uništavajuću funkciju.
Ni kod bolesti nije do sad bila primećena ni izolovana struktura koja bi se dala
označiti kao virus, ni u telu, ni u telesnim tečnostima. Tvrdnje da postoji virus
nosilac bolesti su providna prevara i fatalna laž sa dramatičnim posledicama.
Valjda ne tvrdite time da je i opasni virus AIDS samo fantom?
- Ne samo da ja tvrdim da tzv. AIDS virus nikad nije naučno dokazan, nego
on važi
za dokazan jedino na osnovu dogovora. Nemački ministar zdravlja Ulla Schmidt
napisala je 5.1.2004. pismo poslaniku Rudolfu Krausu: “Naravno da Humane
Immundefizienz Virus - u međunarodnom naučnom konsenzusu - važi za naučno
dokazan.“
Danas, posle mnogobrojnih pitanja građana upućenim zdravstvenim uredima o dokazima
navodnih zaraznih virusa, ti uredi više ne tvrde da je neki zarazni virus bio
direktno dokazan. Kada se pred nemačkim parlamentom raspravljalo o peticiji,
ministarstvo zdravlja je prebacilo odgovornost na ministarstvo
školstva, istraživanja i tehnologije. A to ministarstvo je sad u poziciji da
zakonom garantovana sloboda nauke zabranjuje državi da preispituje naučne tvrdnje.
To je apsurdno! Znači da nas država ostavlja, bespomoćne i bez zaštite,
nekontrolisanoj nauci koja može da radi šta hoće. Zaista mislite da nas država
tako prodaje?
- Ja ništa ne mislim, vidim samo
činjenice i nazivam ih pravim imenom. Tokom
sadašnje panike oko ptičijeg gripa, vidimo da država, iako zna kako stoje
stvari, prepušta stanovništvo osobama koji se proglašavaju za naučnike. Planira se
prinudna hemoterapija a na proleće bi nemačko stanovništvo bilo dva puta
prinudno vakcinisano protiv navodnih simptoma ptičijeg gripa.
Ali virus ptičijeg gripa nije nikad dokazan, niti ikakav drugi virus koga bismo
mogli spojiti sa nekom bolešću. Takvi virusi ne postoje. Važe za dokazane jedino
na osnovu međunarodnog naučnog dogovora, onako kako je to priznala ministarka zdravlja o
navodnom virusu AIDS, i samo na osnovu tog dogovora počivaju tvrdnje o njihovom
postojanju.
Ali opasni virus ptičijeg gripa H5N1 bio je prethodnih dana precizno dokazan u jednoj
engleskoj laboratoriji!
- Ako bi nekada iz nekakvog tela ili telesne tečnosti, npr. kod ptice, bio izolovan
i dokazan virus, mogao bi svaki prosečni naučnik u prosečnoj laboratoriji tokom
jednog dana videti da li je tamo virus ili ne (npr. u uginuloj životinji). To
se, međutim, nikada nije desilo i koriste se samo indirektni, ništa ne
govoreći, testovi.
Tvrdi se, npr. da postoje odbrambene materije koje se spajaju sa određenim
virusom i to samo s njim i da je, ako se dokaže da je u telu prisutna takva
materija, time dokazano i postojanje određenog virusa.
Kod tih odbrambenih materija se, u stvari, radi o rastvorljivim krvnim
belančevinama, koje imaju glavnu ulogu pri „cementiranju“ ćelija u rastu i
razvoju, kao i kod zamirivanja rana. Te belančevine, tzv. globulini, u retorti se,
kod odgovarajuće koncentracije kiselina, baza, minerala ili rastvarača, vezuju sa
drugim belančevinama. Tako da možete svaki uzorak, životinjski ili ljudski,
testirati ako hoćete ili kao pozitivni ili kao negativni. Zato treba jasno i
glasno reći da je to kriminalna samovolja.
I kada se tvrdi da je biohemijskom tehnikom razmnožavanja, tzv. polimerazna
lančana reakcija (PCR), bila razmnožena a time i dokazana, genetska supstanca
virusa, to je prevara jer, kao prvo, nigde ne postoji genetska supstanca virusa
uzročnika bolesti a pomoću koje bi bilo moguće te veštački razmnožene čestice
uporediti, kao drugo, bile su razmnožene samo te genetske supstance (tj. delovi supstance)
koje su se već pre toga nalazile u tečnostima korišćenih kao indirektni dokaz
navodnog virusa.
Jednostavno: hiljade indirektnih dokaza, kao npr. krugovi u žitu, ne dokazuju
NLO. Ne morate ni znati engleski da biste pročitali publikacije na koje se
pozivaju „virusni prevaranti“ da i sami vidite da se u njima nikad ne pojavljuje
nikakav virus. Kada pitate te naučnike za dokaze postojanja navodnih virusa, npr.
H5N1, dobićete samo okolišne odgovore i nikad ništa konkretno.
Na televiziji smo stalno slušali da se istraživanja vrše u jednoj engleskoj
laboratoriji. Ime te laboratorije javnost nikada nije saznala. A radi se o
referencijskoj laboratoriji EU za ptičji grip u Weybrigeu. Nekoliko puta sam te
naučnike pitao za dokaze H5N1, odgovorili su mi samo jednom, potom više nikad, i
to - da nisu razumeli moje pitanje.
Pisao sam nekoliko puta i WHO a naročito koordinatoru pandemije ptičijeg gripa, Klausu Stohru, opet tražeći dokaze, nisu mi odgovorili ni WHO ni Klaus Stohr.
Sta onda znači taj H5N1 pred kojim se trese ceo svet?
-
To „H“ u H5N1 znači hemaglutinin, “N“ znaci neuraminidaza.
Pseudo-virolozi tvrde da se u omotaču virusa gripa nalaze belančevine tipa
hemaglutinina i belančevine tipa enzima neuraminidaze.
U biohemiji se mnoge materije, ne samo belančevine, koje pomažu zgrušavanje
crvenih krvnih zrnaca, zovu hemaglutinin.
Pseudo-virolozi su se dogovorili da u omotaču virusa gripa mora biti 15 raznih
belančevina sa osobinama hemaglutinina. “5“ u nazivu znaci tip 5 navodne
belančevine koja je opet dokazana samo indirektno.
Kao dokaz virusa ptičijeg gripa se, dakle, u laboratoriji pomešaju crvena krvna zrnca sa
uzorcima u kojima bi se trebao nalaziti navodni virus. Ako se zrnca
zgrušavaju, onda se tvrdi da uzrok mora biti hemaglutinin virusa gripa, a da niko,
iz nekog takvog uzorka ili smese, nije izolovao neki virus, da ne govorimo da
ga niko tamo nije ni video.
Od načina zgrušavanja crvenih krvnih zrnaca se izvede, kao i druidi u Asterixu, o kom
tipu hemaglutinina se radi. Naučnici pri tom imaju mnogo uputstava za testove, koji
svojim postupkom garantuju da će se pokazati tačno taj tip hemaglutinina, koji je
ispitivač i pretpostavljao.
Isto je to kod enzima neuramidaze o kojem se tvrdi da je deo virusa
gripa. Pseudo-virolozi govore o 9 različitih tipova. U stvarnosti, neuramidaza
je enzim koji odvajanjem dela aminošećera zvanog neuraminova kiselina, rukovodi
površinski napon odgovornim za dotičnu razmenu materija. Slično kao i kod
„virusnog“ hemaglutinina, možete kupiti mnogo testova koji će „dokazati“ upravo
taj tip neramidaze koji je i pretpostavljao virolog-druid.
Tako da nije čudno da je petao 73-godišnjeg seljaka Dimitrisa Kominarise sa
istočnoegejskog ostrva Inousa, navodno umrlim od ptičijeg gripa, nestao bez traga, do
pomenute laboratorije u Engleskoj nikakav uzorak iz Grčke nije stigao, no mediji
su ipak javili da je već prvi test potvrdio virus H5N1.
Da bi dokazali virus H5N1 zaista i ne trebaju nikakav uzorak, jer se tu radi,
kao i kod svih epidemija, o planiranoj akciji za izazivanje straha među
stanovništvom i to iz političkih razloga.
U medijima se stalno prikazuju snimci virusa gripa i ptičijeg gripa. Na nekim
fotografijama se mogu videti okrugle celine. Zar to nisu virusi?
- Ne! Prvo, te okrugle stvari koje bi trebale biti virusi su veštački stvorene
čestice masti i belančevina, što će prepoznati svaki molekularni biolog. Laik to može
prekontrolisati tako što će tražiti naučnu publikaciju gde su takve tvorevine
pokazane, opisane i gde je dokumentovan njihov sastav. Takva publikacija ne
postoji!
Drugo, slike koje pokazuju viruse ptičijeg gripa svakom biologu jasno pokazuju potpuno
normalne delove ili cele ćelije koje upravo primaju ili predaju proizvode
ćelijske razmene materija. Laik opet to može proveriti time što će tražiti radove
iz kojih su te fotografije prenesene. Takve radove nikada neće dobiti. Ceh
izazivača straha neće se lako odreći osnova svoje trgovine, prevara sa laboratorijskim
istraživanjima i opita na životinjama.
Kad pitate fotoagencije i DPA odakle im te fotografije, uputiće vas na američki
ured za epidemije CDC Pentagona. Iz tog ureda potiče i jedina slika navodnog
virusa H5N1.
Taj snimak pokazuje horizontalni i vertikalni rez „cevčicama“ ćelija ubijenih u
epruveti. Te cevčice se stručno nazivaju mikrotubule i služe za transport i
komunikaciju u ćelijama i pri deobi ćelije.
Ali, bilo je dokazano da H5N1 ubija pileće embrione i da se mogu razmnožavati u
jajima. Dakle, o čemu se radi?
- Takvi eksperimenti se rade već duže od 100 godina kao dokazni postupci o
postojanju najrazličitijih virusa, npr. i navodnog virusa boginja. Pri tome se
kroz ljusku u embrion ušpricavaju zarazne materije. Zavisno od toga koliko i gde
se toga ušprica, embrion vise-manje brzo umre. A pri tom bi umro sve i da se ta
materija pre toga sterilisala!
Ti virolozi proglašavaju takvo ubijanje direktnim dokazom postojanja dotičnog
virusa, te dokazom o razmnožavanju i mogućnosti izolacije virusa. Od tako
ubijenih pilećih embriona, što crkavaju “bez glasa“ na milione godišnje kod
proizvođača seruma, prave se najrazličitije vakcine.
Osim pilećih embriona, usmrćuju se i ćelije u epruveti, da bi se tako umiranje
tih ćelija moglo predstaviti kao dokaz postojanja, razmnožavanja i izolacije
virusa kao uzročnika bolesti. Nigde na svetu, međutim, nije pri tom izolovan
nikakav virus, niti fotografisan elektronskim mikroskopom a ni neki njegov deo
pokazan postupkom nazvanim elektroforeza.
Šta onda ubija životinje pri laboratorijskim istraživanjima, ako ne virus H5N1?
- I ovde je dovoljno pogledati publikacije u kojima su ti eksperimenti opisani.
Pilići su tri dana polako gušeni dozama tečnosti nalivane tubusom u organe za
disanje. Malim majmunima makaki javanskim se 30 dana pre navodne infekcije
implantira do stomaka toplotni izvor, 5 dana pre navodne infekcije se zatvaraju u
komore pod pritiskom, a pri infekciji se mladuncima naspe u dušnik tečnost u
količini koja bi odgovarala 8 čašica alkohola kod čoveka. Delovi istih ekstrakta
iz umirućih, tj. raspadajućih ćelija, se ubrizgavaju životinjama u oči i
krajnike. Ispiranjem bronhija su životinjama izazivani napadi gušenja
itd. Posledice svega toga se pokazuju kao posledice virusa H5N1.
Informisao sam o svemu tome, preko njenih ličnih referenata, bivšu ministarku za
zaštitu potrošača gđu Kunast i sadašnjeg ministra Trittina koji se proglašavaju
zaštitnicima životinja. Nije bilo nikakve reakcije.
Ali, bio je genetski rekonstruisan virus španskog gripa i utvrđeno je da je to
virus ptičijeg gripa!
- To što je tzv. genetički rekonstruisano, nije ništa drugo, nego model genetičke
supstance virusa gripa. A nikakav virus gripa nikada nije izolovan. Nikad nije
izolovana ni genetička supstanca virusa gripa. Sve što je urađeno je
razmnožavanje genetičke supstance korišćenjem biohemijske metode razmnožavanja
zvane „polimerazna lančana reakcija“. Tom metodom je moguće razmnožavati bilo
kakve nove, pre toga nepostojeće, kratke deliće genetičke supstance.
Takođe je moguće tom tehnikom manipulisati genetički otisak, to znači, testirati
nešto kao identično ili različito sa „nađenim“ uzorkom. Samo kada imamo zaista
veliku količinu uzoraka genetičke supstance ima genetički otisak izvesnu verovatnoću
sličnog rezultata, ako pretpostavimo da je test pravilno učinjen.
Dr. Jeffery Taubenberger, koji je izvor tvrdnji o rekonstrukciji virusa
pandemije 1918. god, radi za američku vojsku i 10 godina je radio na tome, da na
osnovu uzorka iz raznih ljudskih leševa, proizvede pomoću tehnike PCR kratke
delove genetičke supstance. Od velikog broja proizvedenih delova, izdvojio je one
koji su najviše nalikovali predstavi o modelu genetičke supstance virusa gripa i
objavio ih.
Ali, ni u jednom lešu nije bio nađen, ni dokazan ni izolovan delić virusne genetičke
supstance. Korišćenjem tehnike PCR iz ničega su proizvedeni delići gen.
supstance koji se pre toga nisu mogli dokazati. Da su virusi prisutni, bilo bi
ih moguće izolovati, i njih i njihovu gen. supstancu, te se ne bi morao -
komplikujući stvar s tehnikom PCR-sa jasnom tendencijom prevare - sklepati model
gen. supstance koji odgovara našoj predstavi o virusu gripa.
Kako sve to može da proveri laik?
- O tim kratkim delićima, koji u smislu genetike nisu potpuni i nisu dovoljni za
definiciju gena, se tvrdi da sve zajedno daju genetičku supstancu virusa gripa.
Da bismo otkrili prevaru, bilo bi dovoljno sabrati dužinu publikovanih delova pa
ćemo otkriti da taj zbir koji bi trebao dati celu gen. supstancu navodnog virusa
gripa, ne odgovara dužini genoma kod modela virusa gripa.
Još jednostavnije je pitati u kojoj naučnoj publikaciji se može naći snimak
„rekonstruisanog“ virusa, urađen elektronskim mikroskopom. Takva publikacija ne
postoji.
Tvrdi se da je eksperimentalno dokazano da taj rekonstruisani virus iz 1918.
veoma efikasno ubija. Šta tu nije u redu?
- Kada pilećem embrionu ubrizgaju u srce smesu veštački napravljenih delića genetičke
supstance i belančevina, umire mnogo brže nego kada bi ubrizgavali po rubovima. Ako u
epruvetu sa ćelijama dodam veštački proizvedene delove genetičke supstance, umreće mnogo
brže nego u normalnim uslovima. I to je „dokaz“ egzistencije, izolacije i
razmnožavanja navodnih virusa.
Na bazi te veštačke genetičke supstance, predstavljane kao virusne, kompjuterski se
sastavljaju modeli belančevina. Od tih se, opet kompjuterski, rekonstruiše slika
celog virusa. I to je sve, ali ceo svet veruje da se u laboratoriji može
rekonstruisati virus. Te tako nije čudno da se, po izveštajima CIA i M16, tvrdi da
komunistički režim Severne Koreje proizvodi još smrtonosnije viruse nego H5N1.
Iz toga zaključujete?
- Pošto šef navodne al Kaide, Bin Laden - nije uhvaćen i pre isceniranog pada
zastarelih njujorkških „blizanaca“ niko nije ni čuo o toj organizaciji, pošto se
ni kod Sadama nije našlo oružje masovnog uništenja (kao i navodni virus
boginja), a to beše povod za drugi rat u Iraku, a sada se opet nešto tvrdi o
smrtonosnim virusima, mora nam postati jasno ko je, u stvari, terorista i ko su
atentatori-samoubice: svi koji učestvuju u virusnoj panici i šire je!
U planovima za slučaj pandemije ptičijeg gripa WHO-a računa s kolapsom
snabdevanja i javnog reda i mira. Ozbiljno bi se trebao uzeti i broj od 100
miliona mrtvih. Kao najugroženiji se navode starački domovi koji će, u stanju
haosa i pada zdravstvenog sistema, biti prvi pogođeni, zajedno sa malom decom i
drugim bespomoćnim žrtvama. A teško je i zamisliti kako bi izgledalo da tvorci
epidemije proglase stanje ugroženosti na zimu!
Štiti li Tamiflu, koji se trenutno kupuje za novac poreskih obveznika, od
ptičijeg gripa?
- Da on štiti od gripa, to niko i ne tvrdi. Tamiflu bi trebao poslužiti kao
inhibitor neuraminidaze. U organizmu potiskuje dejstvo šećera kiseline
neuramininske koja je odgovorna za površinski napon ćelija.
Sporedni učinci Tamiflua, opisani u pratećoj dokumentaciji, su skoro isti kao
simptomi teškog gripa. Masovno se, dakle, prave zalihe leka koji uzrokuje iste
simptome kao i pravi tzv. grip a koji - za sedmicu bez doktora, i za sedam dana
s njim - prolaze sami od sebe. Ako se bolesnicima da Tamiflu, moramo računati sa
težim i jačim simptomima nego kod teškog gripa. Kada se proglasi pandemija,
mnogo ljudi odjednom će početi da uzima Tamiflu. I onda ćemo imati zaista prave
simptome epidemije Tamiflua. Pa onda možemo očekivati i smrt od Tamiflua, a to
će se onda koristiti kao dokaz opasnosti od ptičijeg gripa i velike brige države
za zdravlje čoveka.
Dešava se sve po proverenom šablonu AIDS-a. U Španiji, u pratećoj dokumentaciji
pakovanja lekova protiv AIDS-a piše da se ne zna jesu li simptomi AIDS-a
uzrokovani lekovima ili virusima.
Vi, dakle, ne preporučujete vakcinaciju ni specijalnu vakcinaciju protiv ptičijeg
gripa?
- Ja ne preporučujem ludost. Svaka vakcina sadrži otrovne materije koje trajno
deluju te izazivaju veću ili manju štetu. Zakon o zaštiti pred infekcijama
traži, kao pretpostavku opravdanosti vakcinacije, “biće“, tj. stvarnu egzistenciju
zaraznog zametka, npr. virusa.
No, pošto se ni o kakvim zaraznim virusima ne može utvrditi da postoje,
ne može se opravdavati ni vakcinacija protiv gripa i ptičjeg gripa.
Kod svake vakcinacije od 2001, kada je u Nemačkoj stupio na snagu zakon o zaštiti
od infekcija, radi se o kaznenom prestupu teškog ugrožavanja zdravlja. Naravno da
ne preporučujem da postanete žrtve kaznenih prestupa i zločina.
Ko, po vama, stoji iza svega ovoga što sada doživljavamo?
- O tome možemo samo spekulisati. Farmaceutska industrija je, naravno, srećna
zbog profita od panike oko ptičjeg gripa. U stvari, iza sve te ludosti stoji svaki
pojedinac. Situacija je takva, kakva je. Ali postala je takva zato što smo kao
građani države dozvolili toj državi da nastupa protiv nas, iako je, formalno,
naša država - demokratska, pravna država.
Onaj ko čeka da farmaceutska industrija promeni nešto u korist ljudstva, uzalud
čeka i
čekaće. Ko se danas ne brine sam o sebi, taj je perverzan. Svako se može
raspitivati u ministarstvu zdravlja, ministarstvu zaštite potrošača itd. o naučnim dokazima koji
podržavaju paniku oko gripa.
Onaj ko čeka da to drugi urade za njega, ne sme se čuditi što drugi ništa ne rade
i što situacija postaje sve gora i gora. Na kraju krajeva, mi smo ti, stanovništvo
države, koji godinama gledamo to ludilo oko sebe i trpimo ga. Moramo početi da
prihvatamo društvenu odgovornost ako nećemo da se predamo na milost i nemilost
totalitarnoj vlasti i haosu nekontrolisane nauke.
Po vašem mišljenju se, dakle, moramo boriti protiv nauke?
- Vlast pseudonauke se mora prevazići društvenom naukom koja se definiše obavezom
prema istinitosti i mogućnosti preispitivanja i kontrolisanja rezultata.
Već sam govor sadašnje visokoškolske lekarske nauke izražava tu nekontrolisanu
moć iza svega, kada se lekari i država pozivaju na „Prevladavajuće mišljenje
lekarske nauke“, kojoj se moramo podrediti i kada bi tvrdila da decu donose rode
ili da je zemlja ravna.
No, nemamo razlog za ljutnju. To mi sami trpimo takvo ponašanje države. Niko ko
i dalje sebi dopušta takvo podređivanje državi, npr. sada sa apsurdnim
tvrdnjama o ptičjem gripu, ne bi trebao biti iznenađen ako se jednog jutra probudi
i konstatuje da je mrtav: ubijen od strane moći, koju je kao građanin demokratske
države, sam dopustio.
U pravnoj demokratiji bi panika oko ptičjeg gripa bila nemoguća, isto kao i AIDS i
vakcinacija. Mi moramo uspostaviti pravnu državu. Tek tada neće proći ni AIDS,
ni bilo kakva pseudonauka ili ptičji grip. Mogu samo reći: Ne daj se ptičji gripu! Ne
veruj lažima koje ti poturaju! Proveri sve!
Koristi sopstveni razum!
JOŠ O STEFANU LENKI I PREVARAMA O VIRUSIMA
JOŠ O VIRUSIMA, O NJIHOVOM NASTANKU I DELOVANJIMA